ASK1 (phospho Ser83) antibody

Cat. No. GTX50228
Cat. No.  GTX50228
Anti-ASK1 (phospho Ser83) antibody used in Western Blot (WB). GTX50228
GTX50228 WB Image

WB analysis of extracts from 3T3 cells treated with Anisomycin or calf intestinal phosphatase (CIP) using GTX50228 ASK1 (phospho Ser83) antibody.

1 / 3
Anti-ASK1 (phospho Ser83) antibody used in Western Blot (WB). GTX50228
GTX50228 WB Image

WB analysis of extracts from K562 cells using GTX50228 ASK1 (phospho Ser83) antibody.
Lane 1 : Primary antibody pre-incubated with the antigen specific peptide

2 / 3
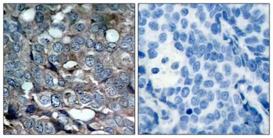
Anti-ASK1 (phospho Ser83) antibody used in IHC (Paraffin sections) (IHC-P). GTX50228
GTX50228 IHC-P Image

IHC-P analysis of human breast carcinoma tissue using GTX50228 ASK1 (phospho Ser83) antibody.
Left : Primary antibody
Right : Primary antibody pre-incubated with the antigen specific peptide

3 / 3
Anti-ASK1 (phospho Ser83) antibody used in Western Blot (WB). GTX50228
Anti-ASK1 (phospho Ser83) antibody used in Western Blot (WB). GTX50228
Anti-ASK1 (phospho Ser83) antibody used in IHC (Paraffin sections) (IHC-P). GTX50228
  • Host
    Rabbit
  • Clonality
    Polyclonal
  • Isotype
    IgG
  • Applications
    WB IHC-P
  • Reactivity
    Human, Mouse
See all ASK1 products