ASL antibody

Cat. No. GTX113629
Cat. No.  GTX113629
Anti-ASL antibody used in Western Blot (WB). GTX113629
GTX113629 WB Image

Various whole cell extracts (30 μg) were separated by 10% SDS-PAGE, and the membrane was blotted with ASL antibody (GTX113629) diluted at 1:1000. The HRP-conjugated anti-rabbit IgG antibody (GTX213110-01) was used to detect the primary antibody. Corresponding RNA expression data for the same cell lines are based on Human Protein Atlas program.

1 / 7
Anti-ASL antibody used in Immunocytochemistry/ Immunofluorescence (ICC/IF). GTX113629
GTX113629 ICC/IF Image

ASL antibody detects ASL protein at cytoplasm by immunofluorescent analysis.
Sample: HeLa cells were fixed in 4% paraformaldehyde at RT for 15 min.
Green: ASL protein stained by ASL antibody (GTX113629) diluted at 1:500.
Red: alpha Tubulin, a cytoskeleton marker, stained by alpha Tubulin antibody [GT114] (GTX628802) diluted at 1:1000.
Blue: Hoechst 33342 staining.

2 / 7
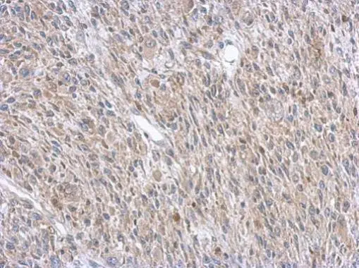
Anti-ASL antibody used in IHC (Paraffin sections) (IHC-P). GTX113629
GTX113629 IHC-P Image

ASL antibody detects ASL protein at cytoplasm by immunohistochemical analysis.
Sample: Paraffin-embedded human hepatocellular carcinoma.
ASL stained by ASL antibody (GTX113629) diluted at 1:500.
Antigen Retrieval: Citrate buffer, pH 6.0, 15 min

3 / 7
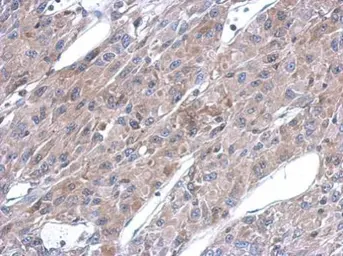
Anti-ASL antibody used in IHC (Paraffin sections) (IHC-P). GTX113629
GTX113629 IHC-P Image

Immunohistochemical analysis of paraffin-embedded C2C12 xenograft, using ASL(GTX113629) antibody at 1:500 dilution.
Antigen Retrieval: Trilogy™ (EDTA based, pH 8.0) buffer, 15min

4 / 7
Anti-ASL antibody used in Immunocytochemistry/ Immunofluorescence (ICC/IF). GTX113629
GTX113629 ICC/IF Image

Immunofluorescence analysis of paraformaldehyde-fixed HeLa, using Argininosuccinate Lyase(GTX113629) antibody at 1:200 dilution.

5 / 7
Anti-ASL antibody used in IHC (Paraffin sections) (IHC-P). GTX113629
GTX113629 IHC-P Image

Immunohistochemical analysis of paraffin-embedded U87 xenograft, using ASL(GTX113629) antibody at 1:500 dilution.
Antigen Retrieval: Trilogy™ (EDTA based, pH 8.0) buffer, 15min

6 / 7
Anti-ASL antibody used in Western Blot (WB). GTX113629
GTX113629 WB Image

ASL antibody detects ASL protein by western blot analysis.
A. 30 μg Neuro2A whole lysate/extract
B. 30 μg GL261 whole cell lysate/extract
C. 30 μg C8D30 whole cell lysate/extract
D. 30 μg NIH-3T3 whole cell lysate/extract
E. 30 μg BCL-1 whole cell lysate/extract
F. 30 μg Raw264.7 whole cell lysate/extract
G. 30 μg C2C12 whole cell lysate/extract
10% SDS-PAGE
ASL antibody (GTX113629) dilution: 1:1000
The HRP-conjugated anti-rabbit IgG antibody (GTX213110-01) was used to detect the primary antibody.

7 / 7
Anti-ASL antibody used in Western Blot (WB). GTX113629
Anti-ASL antibody used in Immunocytochemistry/ Immunofluorescence (ICC/IF). GTX113629
Anti-ASL antibody used in IHC (Paraffin sections) (IHC-P). GTX113629
Anti-ASL antibody used in IHC (Paraffin sections) (IHC-P). GTX113629
Anti-ASL antibody used in Immunocytochemistry/ Immunofluorescence (ICC/IF). GTX113629
Anti-ASL antibody used in IHC (Paraffin sections) (IHC-P). GTX113629
Anti-ASL antibody used in Western Blot (WB). GTX113629
  • Host
    Rabbit
  • Clonality
    Polyclonal
  • Isotype
    IgG
  • Applications
    WB ICC/IF IHC-P
  • Reactivity
    Human, Mouse
See all ASL products