ATF2 (phospho Thr71) antibody

Cat. No. GTX55046
Cat. No.  GTX55046
Anti-ATF2 (phospho Thr71) antibody used in Western Blot (WB). GTX55046
GTX55046 WB Image

WB analysis of UV-treated HUVEC (A), UV-treated HEK293T (B) whole cell lysates using GTX55046 ATF2 (phospho Thr71) antibody.

1 / 2
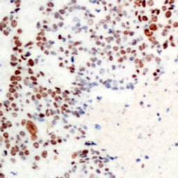
Anti-ATF2 (phospho Thr71) antibody used in IHC (Paraffin sections) (IHC-P). GTX55046
GTX55046 IHC-P Image

IHC-P analysis of formalin fixed human prostate cancer tissue section using GTX55046 ATF2 (phospho Thr71) antibody.
Antigen retrieval : Heat mediated antigen retrieval with sodium citrate buffer (pH 6.0)

2 / 2
Anti-ATF2 (phospho Thr71) antibody used in Western Blot (WB). GTX55046
Anti-ATF2 (phospho Thr71) antibody used in IHC (Paraffin sections) (IHC-P). GTX55046
  • Host
    Rabbit
  • Clonality
    Polyclonal
  • Isotype
    IgG
  • Applications
    WB IHC-P
  • Reactivity
    Human
See all ATF2 products