ATG13 antibody

Cat. No. GTX85183
Cat. No.  GTX85183
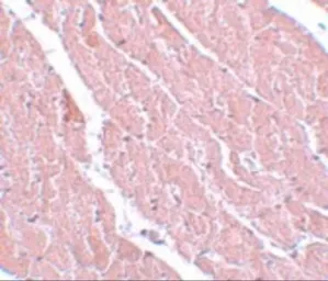
Anti-ATG13 antibody used in IHC (Paraffin sections) (IHC-P). GTX85183
GTX85183 IHC-P Image

IHC-P analysis of mouse heart tissue using GTX85183 ATG13 antibody.
Working concentration : 5 μg/ml

1 / 3
Anti-ATG13 antibody used in IHC (Paraffin sections) (IHC-P). GTX85183
GTX85183 IHC-P Image

IHC-P analysis of mouse heart tissue using GTX85183 ATG13 antibody.
Working concentration : 20 μg/ml

2 / 3
Anti-ATG13 antibody used in Western Blot (WB). GTX85183
GTX85183 WB Image

WB analysis of rat heart tissue lysate in (A) the absence and (B) the presence of blocking peptide using GTX85183 ATG13 antibody.
Working concentration : 1 μg/ml

3 / 3
Anti-ATG13 antibody used in IHC (Paraffin sections) (IHC-P). GTX85183
Anti-ATG13 antibody used in IHC (Paraffin sections) (IHC-P). GTX85183
Anti-ATG13 antibody used in Western Blot (WB). GTX85183
  • Host
    Rabbit
  • Clonality
    Polyclonal
  • Isotype
    IgG
  • Applications
    WB IHC-P ELISA
  • Reactivity
    Human, Mouse, Rat
See all ATG13 products