ATG4B antibody

Cat. No. GTX85759
Cat. No.  GTX85759
Anti-ATG4B antibody used in Western Blot (WB). GTX85759
GTX85759 WB Image

WB analysis of HeLa cell lysate in the 1) absence, 2) presence of immunizing peptide and 3) RAW cell lysate using GTX85759 ATG4B antibody.
Dilution : 2 μg/ml

1 / 2
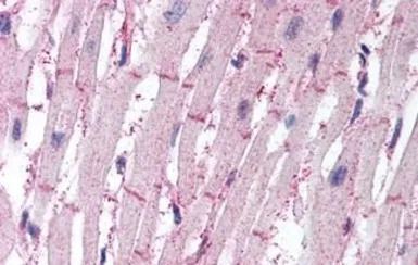
Anti-ATG4B antibody used in IHC (Paraffin sections) (IHC-P). GTX85759
GTX85759 IHC-P Image

IHC-P analysis of human heart tissue using GTX85759 ATG4B antibody.
Antigen retrieval : Heat-induced antigen retrieval
Dilution : 10 μg/ml

2 / 2
Anti-ATG4B antibody used in Western Blot (WB). GTX85759
Anti-ATG4B antibody used in IHC (Paraffin sections) (IHC-P). GTX85759
  • Host
    Rabbit
  • Clonality
    Polyclonal
  • Isotype
    IgG
  • Applications
    WB IHC-P
  • Reactivity
    Human, Mouse, Rat, Zebrafish, Chicken, Pufferfish, Xenopus
See all ATG4B products