ATP5B antibody [6C4]

Cat. No. GTX84848
Cat. No.  GTX84848
Anti-ATP5B antibody [6C4] used in Immunocytochemistry/ Immunofluorescence (ICC/IF). GTX84848
GTX84848 ICC/IF Image

ICC/IF analysis of HepG2 cells using GTX84848 ATP5B antibody [6C4].

1 / 10
Anti-ATP5B antibody [6C4] used in Flow cytometry (FCM). GTX84848
GTX84848 FCM Image

FACS analysis of HEK293T cells transfected with either ATP5B plasmid(Red) or empty vector control plasmid(Blue) using GTX84848 ATP5B antibody [6C4].

2 / 10
Anti-ATP5B antibody [6C4] used in Flow cytometry (FCM). GTX84848
GTX84848 FCM Image

FACS analysis of Jurkat cells using GTX84848 ATP5B antibody [6C4].
Red : Primary antibody
Blue : Negative control antibody

3 / 10
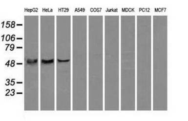
Anti-ATP5B antibody [6C4] used in Western Blot (WB). GTX84848
GTX84848 WB Image

WB analysis of various cell lines using GTX84848 ATP5B antibody [6C4].
Loading : 35 ug per lane

4 / 10
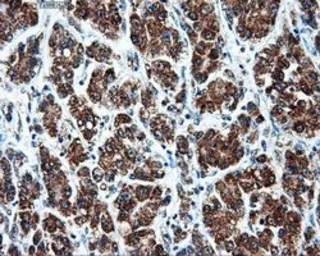
Anti-ATP5B antibody [6C4] used in IHC (Paraffin sections) (IHC-P). GTX84848
GTX84848 IHC-P Image

IHC-P analysis of liver carcinoma tissue using GTX84848 ATP5B antibody [6C4].
Antigen retrieval : Heat-induced epitope retrieval by 10mM citrate buffer, pH6.0, 100ºC for 10min.
Dilution : 1:50

5 / 10
Anti-ATP5B antibody [6C4] used in Western Blot (WB). GTX84848
GTX84848 WB Image

WB analysis of HEK293T cells transfected with ATP5B plasmid (Right) or empty vector (Left) for 48 hrs using GTX84848 ATP5B antibody [6C4].
Loading : 5 ug per lane

6 / 10
Anti-ATP5B antibody [6C4] used in Immunocytochemistry/ Immunofluorescence (ICC/IF). GTX84848
GTX84848 ICC/IF Image

ICC/IF analysis of COS7 cells transiently transfected with ATP5B plasmid using GTX84848 ATP5B antibody [6C4].

7 / 10
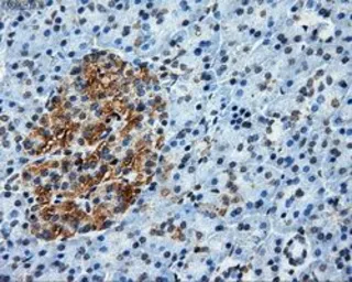
Anti-ATP5B antibody [6C4] used in IHC (Paraffin sections) (IHC-P). GTX84848
GTX84848 IHC-P Image

IHC-P analysis of pancreas tissue using GTX84848 ATP5B antibody [6C4].
Antigen retrieval : Heat-induced epitope retrieval by 10mM citrate buffer, pH6.0, 100ºC for 10min.
Dilution : 1:50

8 / 10
Anti-ATP5B antibody [6C4] used in Flow cytometry (FCM). GTX84848
GTX84848 FCM Image

FACS analysis of HeLa cells using GTX84848 ATP5B antibody [6C4].
Red : Primary antibody
Blue : Negative control antibody

9 / 10
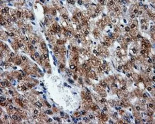
Anti-ATP5B antibody [6C4] used in IHC (Paraffin sections) (IHC-P). GTX84848
GTX84848 IHC-P Image

IHC-P analysis of liver tissue using GTX84848 ATP5B antibody [6C4].
Antigen retrieval : Heat-induced epitope retrieval by 10mM citrate buffer, pH6.0, 100ºC for 10min.
Dilution : 1:50

10 / 10
Anti-ATP5B antibody [6C4] used in Immunocytochemistry/ Immunofluorescence (ICC/IF). GTX84848
Anti-ATP5B antibody [6C4] used in Flow cytometry (FCM). GTX84848
Anti-ATP5B antibody [6C4] used in Flow cytometry (FCM). GTX84848
Anti-ATP5B antibody [6C4] used in Western Blot (WB). GTX84848
Anti-ATP5B antibody [6C4] used in IHC (Paraffin sections) (IHC-P). GTX84848
Anti-ATP5B antibody [6C4] used in Western Blot (WB). GTX84848
Anti-ATP5B antibody [6C4] used in Immunocytochemistry/ Immunofluorescence (ICC/IF). GTX84848
Anti-ATP5B antibody [6C4] used in IHC (Paraffin sections) (IHC-P). GTX84848
Anti-ATP5B antibody [6C4] used in Flow cytometry (FCM). GTX84848
Anti-ATP5B antibody [6C4] used in IHC (Paraffin sections) (IHC-P). GTX84848
  • Host
    Mouse
  • Clonality
    Monoclonal
  • Clone Name
    6C4
  • Isotype
    IgG1
  • Applications
    WB ICC/IF IHC-P FCM
  • Reactivity
    Human
See all ATP5B products