ATP5J antibody [HL2934]

Cat. No. GTX640318
Cat. No.  GTX640318
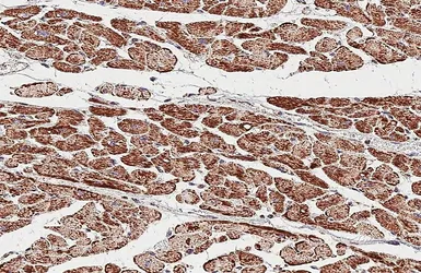
Anti-ATP5J antibody [HL2934] used in IHC (Paraffin sections) (IHC-P). GTX640318
GTX640318 IHC-P Image

ATP5J antibody [HL2934] detects ATP5J protein by immunohistochemical analysis.
Sample: Paraffin-embedded human heart.
ATP5J stained by ATP5J antibody [HL2934] (GTX640318) diluted at 1:200.
Antigen Retrieval: Tris-EDTA-Citrate buffer, pH 7.8, 15 min

1 / 4
Anti-ATP5J antibody [HL2934] used in Western Blot (WB). GTX640318
GTX640318 WB Image

Various whole cell extracts (30 μg) were separated by 15% SDS-PAGE, and the membrane was blotted with ATP5J antibody [HL2934] (GTX640318) diluted at 1:1000. The HRP-conjugated anti-rabbit IgG antibody (GTX213110-01) was used to detect the primary antibody.

2 / 4
Anti-ATP5J antibody [HL2934] used in IHC (Paraffin sections) (IHC-P). GTX640318
GTX640318 IHC-P Image

ATP5J antibody [HL2934] detects ATP5J protein by immunohistochemical analysis.
Sample: Paraffin-embedded human glioblastoma.
ATP5J stained by ATP5J antibody [HL2934] (GTX640318) diluted at 1:100.
Antigen Retrieval: Citrate buffer, pH 6.0, 15 min

3 / 4
Anti-ATP5J antibody [HL2934] used in Western Blot (WB). GTX640318
GTX640318 WB Image

Various tissue extracts (50 μg) were separated by 15% SDS-PAGE, and the membrane was blotted with ATP5J antibody [HL2934] (GTX640318) diluted at 1:1000. The HRP-conjugated anti-rabbit IgG antibody (GTX213110-01) was used to detect the primary antibody.

4 / 4
Anti-ATP5J antibody [HL2934] used in IHC (Paraffin sections) (IHC-P). GTX640318
Anti-ATP5J antibody [HL2934] used in Western Blot (WB). GTX640318
Anti-ATP5J antibody [HL2934] used in IHC (Paraffin sections) (IHC-P). GTX640318
Anti-ATP5J antibody [HL2934] used in Western Blot (WB). GTX640318
  • Host
    Rabbit
  • Clonality
    Monoclonal
  • Clone Name
    HL2934
  • Isotype
    IgG
  • Applications
    WB IHC-P
  • Reactivity
    Human, Mouse, Rat
See all ATP5J products