ATP6V1A antibody [GT811]

Cat. No. GTX633543
Cat. No.  GTX633543
Anti-ATP6V1A antibody [GT811] used in Western Blot (WB). GTX633543
GTX633543 WB Image

Non-transfected (–) and transfected (+) 293T whole cell extracts (30 μg) were separated by 7.5% SDS-PAGE, and the membrane was blotted with ATP6V1A antibody [GT811] (GTX633543) diluted at 1:500.

1 / 6
Anti-ATP6V1A antibody [GT811] used in Western Blot (WB). GTX633543
GTX633543 WB Image

Various whole cell extracts (30 μg) were separated by 7.5% SDS-PAGE, and the membrane was blotted with ATP6V1A antibody [GT811] (GTX633543) diluted at 1:1000. The HRP-conjugated anti-mouse IgG antibody (GTX213111-01) was used to detect the primary antibody.

2 / 6
Anti-ATP6V1A antibody [GT811] used in Immunocytochemistry/ Immunofluorescence (ICC/IF). GTX633543
GTX633543 ICC/IF Image

ATP6V1A antibody [GT811] detects ATP6V1A protein at cytoplasm by immunofluorescent analysis.
Sample: HepG2 cells were fixed in 4% paraformaldehyde at RT for 15 min.
Green: ATP6V1A stained by ATP6V1A antibody [GT811] (GTX633543) diluted at 1:500.
Blue: Fluoroshield with DAPI (GTX30920).

3 / 6
Anti-ATP6V1A antibody [GT811] used in Immunocytochemistry/ Immunofluorescence (ICC/IF). GTX633543
GTX633543 ICC/IF Image

ATP6V1A antibody [GT811] detects ATP6V1A protein at cytoplasm by immunofluorescent analysis.
Sample: Hep G2 cells were fixed in 4% paraformaldehyde at RT for 15 min.
Green: ATP6V1A protein stained by ATP6V1A antibody [GT811] (GTX633543) diluted at 1:200.
Blue: Hoechst 33342 staining.

4 / 6
Anti-ATP6V1A antibody [GT811] used in Flow cytometry (FCM). GTX633543
GTX633543 FCM Image

ATP6V1A antibody [GT811] (GTX633543) detects ATP6V1A protein by flow cytometry analysis.
Sample: HepG2 cell.
Black: Unlabelled sample was used as a control.
Red: ATP6V1A antibody [GT811] (GTX633543) dilution: 1:50.
Acquisition of 20,000 events were collected for FACS analysis.

5 / 6
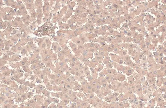
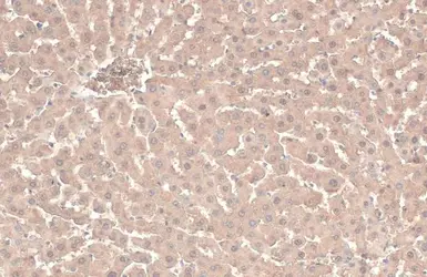
Anti-ATP6V1A antibody [GT811] used in IHC (Paraffin sections) (IHC-P). GTX633543
GTX633543 IHC-P Image

ATP6V1A antibody [GT811] detects ATP6V1A protein at cytoplasm by immunohistochemical analysis.
Sample: Paraffin-embedded rat liver.
ATP6V1A stained by ATP6V1A antibody [GT811] (GTX633543) diluted at 1:200.
Antigen Retrieval: Citrate buffer, pH 6.0, 15 min

6 / 6
Anti-ATP6V1A antibody [GT811] used in Western Blot (WB). GTX633543
Anti-ATP6V1A antibody [GT811] used in Western Blot (WB). GTX633543
Anti-ATP6V1A antibody [GT811] used in Immunocytochemistry/ Immunofluorescence (ICC/IF). GTX633543
Anti-ATP6V1A antibody [GT811] used in Immunocytochemistry/ Immunofluorescence (ICC/IF). GTX633543
Anti-ATP6V1A antibody [GT811] used in Flow cytometry (FCM). GTX633543
Anti-ATP6V1A antibody [GT811] used in IHC (Paraffin sections) (IHC-P). GTX633543
  • Host
    Mouse
  • Clonality
    Monoclonal
  • Clone Name
    GT811
  • Isotype
    IgG2b
  • Applications
    WB ICC/IF IHC-P FCM
  • Reactivity
    Human, Rat
See all ATP6V1A products