ATP6V1E1 antibody

Cat. No. GTX114056
Cat. No.  GTX114056
Anti-ATP6V1E1 antibody used in Western Blot (WB). GTX114056
GTX114056 WB Image

Various whole cell extracts (30 μg) were separated by 12% SDS-PAGE, and the membrane was blotted with ATP6V1E1 antibody (GTX114056) diluted at 1:3000. The HRP-conjugated anti-rabbit IgG antibody (GTX213110-01) was used to detect the primary antibody. Corresponding RNA expression data for the same cell lines are based on Human Protein Atlas program.

1 / 6
Anti-ATP6V1E1 antibody used in Western Blot (WB). GTX114056
GTX114056 WB Image

Various whole cell extracts (30 μg) were separated by 12% SDS-PAGE, and the membrane was blotted with ATP6V1E1 antibody (GTX114056) diluted at 1:3000. The HRP-conjugated anti-rabbit IgG antibody (GTX213110-01) was used to detect the primary antibody.

2 / 6
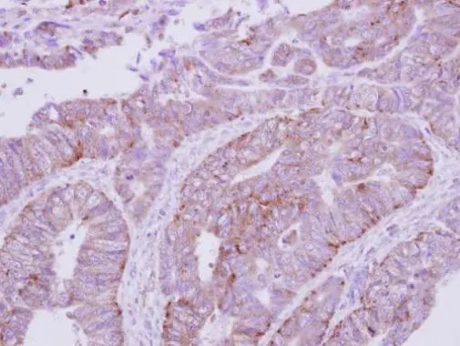
Anti-ATP6V1E1 antibody used in IHC (Paraffin sections) (IHC-P). GTX114056
GTX114056 IHC-P Image

Immunohistochemical analysis of paraffin-embedded human colon carcinoma, using ATP6V1E1(GTX114056) antibody at 1:250 dilution.
Antigen Retrieval: Trilogy™ (EDTA based, pH 8.0) buffer, 15min

3 / 6
Anti-ATP6V1E1 antibody used in IHC (Paraffin sections) (IHC-P). GTX114056
GTX114056 IHC-P Image

ATP6V1E1 antibody detects ATP6V1E1 protein at cell membrane and cytoplasm by immunohistochemical analysis.
Sample: Paraffin-embedded mouse kidney.
ATP6V1E1 stained by ATP6V1E1 antibody (GTX114056) diluted at 1:500.
Antigen Retrieval: Citrate buffer, pH 6.0, 15 min

4 / 6
Anti-ATP6V1E1 antibody used in Western Blot (WB). GTX114056
GTX114056 WB Image

Various tissue extracts (50 μg) were separated by 12% SDS-PAGE, and the membrane was blotted with ATP6V1E1 antibody (GTX114056) diluted at 1:1000. The HRP-conjugated anti-rabbit IgG antibody (GTX213110-01) was used to detect the primary antibody.

5 / 6
Anti-ATP6V1E1 antibody used in Immunocytochemistry/ Immunofluorescence (ICC/IF). GTX114056
GTX114056 ICC/IF Image

ATP6V1E1 antibody detects ATP6V1E1 protein at cytoplasm by immunofluorescent analysis.
Sample: HeLa cells were fixed in ice-cold MeOH for 5 min.
Green: ATP6V1E1 protein stained by ATP6V1E1 antibody (GTX114056) diluted at 1:200.
Blue: Hoechst 33342 staining.

6 / 6
Anti-ATP6V1E1 antibody used in Western Blot (WB). GTX114056
Anti-ATP6V1E1 antibody used in Western Blot (WB). GTX114056
Anti-ATP6V1E1 antibody used in IHC (Paraffin sections) (IHC-P). GTX114056
Anti-ATP6V1E1 antibody used in IHC (Paraffin sections) (IHC-P). GTX114056
Anti-ATP6V1E1 antibody used in Western Blot (WB). GTX114056
Anti-ATP6V1E1 antibody used in Immunocytochemistry/ Immunofluorescence (ICC/IF). GTX114056
  • Host
    Rabbit
  • Clonality
    Polyclonal
  • Isotype
    IgG
  • Applications
    WB ICC/IF IHC-P
  • Reactivity
    Human, Mouse, Rat
See all ATP6V1E1 products