Adenosine A2b Receptor antibody

Cat. No. GTX132217
Cat. No.  GTX132217
Anti-Adenosine A2b Receptor antibody used in IHC (Paraffin sections) (IHC-P). GTX132217
GTX132217 IHC-P Image

Adenosine A2b Receptor antibody detects Adenosine A2b Receptor protein by immunohistochemical analysis.
Sample: Paraffin-embedded mouse cerebellum.
Adenosine A2b Receptor stained by Adenosine A2b Receptor antibody (GTX132217) diluted at 1:500.
Antigen Retrieval: Citrate buffer, pH 6.0, 15 min

1 / 4
Anti-Adenosine A2b Receptor antibody used in IHC (Paraffin sections) (IHC-P). GTX132217
GTX132217 IHC-P Image

Adenosine A2b Receptor antibody detects Adenosine A2b Receptor protein by immunohistochemical analysis.
Sample: Paraffin-embedded mouse brain.
Adenosine A2b Receptor stained by Adenosine A2b Receptor antibody (GTX132217) diluted at 1:500.
Antigen Retrieval: Citrate buffer, pH 6.0, 15 min

2 / 4
Anti-Adenosine A2b Receptor antibody used in IHC (Paraffin sections) (IHC-P). GTX132217
GTX132217 IHC-P Image

Adenosine A2b Receptor antibody detects Adenosine A2b Receptor protein at cytoplasm in rat brain by immunohistochemical analysis.
Sample: Paraffin-embedded rat brain.
Adenosine A2b Receptor antibody (GTX132217) diluted at 1:500.

Antigen Retrieval: Citrate buffer, pH 6.0, 15 min

3 / 4
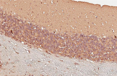
Anti-Adenosine A2b Receptor antibody used in IHC (Paraffin sections) (IHC-P). GTX132217
GTX132217 IHC-P Image

Adenosine A2b Receptor antibody detects Adenosine A2b Receptor protein at cell membrane and cytoplasm by immunohistochemical analysis.
Sample: Paraffin-embedded cat cerebellum.
Adenosine A2b Receptor stained by Adenosine A2b Receptor antibody (GTX132217) diluted at 1:500.
Antigen Retrieval: Citrate buffer, pH 6.0, 15 min

4 / 4
Anti-Adenosine A2b Receptor antibody used in IHC (Paraffin sections) (IHC-P). GTX132217
Anti-Adenosine A2b Receptor antibody used in IHC (Paraffin sections) (IHC-P). GTX132217
Anti-Adenosine A2b Receptor antibody used in IHC (Paraffin sections) (IHC-P). GTX132217
Anti-Adenosine A2b Receptor antibody used in IHC (Paraffin sections) (IHC-P). GTX132217
  • Host
    Rabbit
  • Clonality
    Polyclonal
  • Isotype
    IgG
  • Applications
    IHC-P
  • Reactivity
    Mouse, Rat, Cat
See all Adenosine A2b Receptor products