Albumin antibody [3F4]

Cat. No. GTX60252
Cat. No.  GTX60252
Anti-Albumin antibody [3F4] used in Western Blot (WB). GTX60252
GTX60252 WB Image

WB analysis of A549 cell lysates using GTX60252 Albumin antibody [3F4].
Dilution : 1:300

1 / 3
Anti-Albumin antibody [3F4] used in Western Blot (WB). GTX60252
GTX60252 WB Image

WB analysis of various samples using GTX60252 Albumin antibody [3F4].
Dilution : 1:300
Lane 1 : mouse lung lysates
Lane 2 : mouse spleen lysates

2 / 3
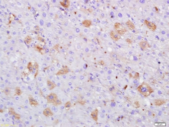
Anti-Albumin antibody [3F4] used in IHC (Paraffin sections) (IHC-P). GTX60252
GTX60252 IHC-P Image

IHC-P analysis of human hepatocellular carcinoma tissue using GTX60252 Albumin antibody [3F4].
Antigen retrieval : Boiling in sodium citrate buffer (pH6) for 15min
Dilution : 1:500

3 / 3
Anti-Albumin antibody [3F4] used in Western Blot (WB). GTX60252
Anti-Albumin antibody [3F4] used in Western Blot (WB). GTX60252
Anti-Albumin antibody [3F4] used in IHC (Paraffin sections) (IHC-P). GTX60252
  • Host
    Mouse
  • Clonality
    Monoclonal
  • Clone Name
    3F4
  • Isotype
    IgG1
  • Applications
    WB IHC-P
  • Reactivity
    Human, Mouse
See all Albumin products