Albumin antibody

Cat. No. GTX102419
Cat. No.  GTX102419
Anti-Albumin antibody used in Western Blot (WB). GTX102419
GTX102419 WB Image

Various whole cell extracts (30 μg) were separated by 7.5% SDS-PAGE, and the membrane was blotted with Albumin antibody (GTX102419) diluted at 1:1000. The HRP-conjugated anti-rabbit IgG antibody (GTX213110-01) was used to detect the primary antibody. Corresponding RNA expression data for the same cell lines are based on Human Protein Atlas program.

1 / 15
Anti-Albumin antibody used in Immunocytochemistry/ Immunofluorescence (ICC/IF). GTX102419
GTX102419 ICC/IF Image

Albumin antibody detects Albumin protein at cytoplasm by immunofluorescent analysis.
Sample: A431 cells were fixed in ice-cold MeOH for 5 min.
Green: Albumin protein stained by Albumin antibody (GTX102419) diluted at 1:500.
Blue: Hoechst 33342 staining.
Scale bar = 10 μm.

2 / 15
Anti-Albumin antibody used in IHC (Paraffin sections) (IHC-P). GTX102419
GTX102419 IHC-P Image

Albumin antibody detects secreted Albumin protein by immunohistochemical analysis.
Sample: Paraffin-embedded rat liver.
Albumin stained by Albumin antibody (GTX102419) diluted at 1:1000.
Antigen Retrieval: Citrate buffer, pH 6.0, 15 min

3 / 15
Anti-Albumin antibody used in Western Blot (WB). GTX102419
GTX102419 WB Image

Human plasma (1 μg) was separated by 7.5% SDS-PAGE, and the membrane was blotted with Albumin antibody (GTX102419) diluted at 1:100000. The HRP-conjugated anti-rabbit IgG antibody (GTX213110-01) was used to detect the primary antibody.

4 / 15
Anti-Albumin antibody used in IHC (Paraffin sections) (IHC-P). GTX102419
GTX102419 IHC-P Image

Albumin antibody detects secreted Albumin protein by immunohistochemical analysis.
Sample: Paraffin-embedded mouse liver.
Albumin stained by Albumin antibody (GTX102419) diluted at 1:1000.
Antigen Retrieval: Citrate buffer, pH 6.0, 15 min

5 / 15
Anti-Albumin antibody used in IHC (Frozen sections) (IHC-Fr). GTX102419
GTX102419 IHC-Fr Image

Albumin antibody detects Albumin protein at cytoplasm in rat liver by immunohistochemical analysis.
Sample: Frozen section of rat liver.
Albumin antibody (GTX102419) diluted at 1:200.

6 / 15
Anti-Albumin antibody used in IHC (Paraffin sections) (IHC-P). GTX102419
GTX102419 IHC-P Image

Albumin antibody detects Albumin protein at cytoplasm in human hepatocellular carcinoma by immunohistochemical analysis.
Sample: Paraffin-embedded human hepatocellular carcinoma.
Albumin antibody (GTX102419) diluted at 1:500.

Antigen Retrieval: Citrate buffer, pH 6.0, 15 min

7 / 15
Anti-Albumin antibody used in Western Blot (WB). GTX102419
GTX102419 WB Image

Various tissue extracts (50 μg) were separated by 7.5% SDS-PAGE, and the membrane was blotted with Albumin antibody (GTX102419) diluted at 1:1000. The HRP-conjugated anti-rabbit IgG antibody (GTX213110-01) was used to detect the primary antibody.

8 / 15
Anti-Albumin antibody used in IHC (Paraffin sections) (IHC-P). GTX102419
GTX102419 IHC-P Image

Albumin antibody detects Albumin protein at cytoplasm by immunohistochemical analysis.
Sample: Paraffin-embedded cat liver.
Albumin stained by Albumin antibody (GTX102419) diluted at 1:500.
Antigen Retrieval: Citrate buffer, pH 6.0, 15 min

9 / 15
Anti-Albumin antibody used in Immunocytochemistry/ Immunofluorescence (ICC/IF). GTX102419
GTX102419 ICC/IF Image

Albumin antibody detects Albumin protein at cytoplasm by immunofluorescent analysis.
Sample: MDCK cells were fixed in 4% paraformaldehyde at RT for 15 min.
Green: Albumin stained by Albumin antibody (GTX102419) diluted at 1:500.
Blue: Hoechst 33342 staining.

10 / 15
Anti-Albumin antibody used in Immunocytochemistry/ Immunofluorescence (ICC/IF). GTX102419
GTX102419 ICC/IF Image

Albumin antibody detects Albumin protein at cytoplasm by immunofluorescent analysis.
Sample: PG-4 cells were fixed in 4% paraformaldehyde at RT for 15 min.
Green: Albumin stained by Albumin antibody (GTX102419) diluted at 1:500.
Blue: Hoechst 33342 staining.

11 / 15
Anti-Albumin antibody used in Western Blot (WB). GTX102419
GTX102419 WB Image

PG-4 whole cell extract (30 μg) was separated by 7.5% SDS-PAGE, and the membrane was blotted with Albumin antibody (GTX102419) diluted at 1:1000. The HRP-conjugated anti-rabbit IgG antibody (GTX213110-01) was used to detect the primary antibody.

12 / 15
Anti-Albumin antibody used in IHC (Paraffin sections) (IHC-P). GTX102419
GTX102419 IHC-P Image

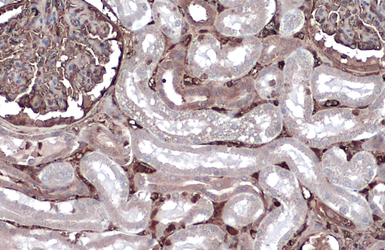
Albumin antibody detects secreted Albumin protein by immunohistochemical analysis.
Sample: Paraffin-embedded dog kidney.
Albumin stained by Albumin antibody (GTX102419) diluted at 1:500.
Antigen Retrieval: Citrate buffer, pH 6.0, 15 min

13 / 15
Anti-Albumin antibody used in IHC (Paraffin sections) (IHC-P). GTX102419
GTX102419 IHC-P Image

Albumin antibody detects Albumin protein at cytoplasm by immunohistochemical analysis.
Sample: Paraffin-embedded dog liver.
Albumin stained by Albumin antibody (GTX102419) diluted at 1:500.
Antigen Retrieval: Citrate buffer, pH 6.0, 15 min

14 / 15
Anti-Albumin antibody used in Western Blot (WB). GTX102419
GTX102419 WB Image

Whole cell extract (30 μg) was separated by 7.5% SDS-PAGE, and the membrane was blotted with Albumin antibody (GTX102419) diluted at 1:1000. The HRP-conjugated anti-rabbit IgG antibody (GTX213110-01) was used to detect the primary antibody, and the signal was developed with Trident ECL plus-Enhanced.

15 / 15
Anti-Albumin antibody used in Western Blot (WB). GTX102419
Anti-Albumin antibody used in Immunocytochemistry/ Immunofluorescence (ICC/IF). GTX102419
Anti-Albumin antibody used in IHC (Paraffin sections) (IHC-P). GTX102419
Anti-Albumin antibody used in Western Blot (WB). GTX102419
Anti-Albumin antibody used in IHC (Paraffin sections) (IHC-P). GTX102419
Anti-Albumin antibody used in IHC (Frozen sections) (IHC-Fr). GTX102419
Anti-Albumin antibody used in IHC (Paraffin sections) (IHC-P). GTX102419
Anti-Albumin antibody used in Western Blot (WB). GTX102419
Anti-Albumin antibody used in IHC (Paraffin sections) (IHC-P). GTX102419
Anti-Albumin antibody used in Immunocytochemistry/ Immunofluorescence (ICC/IF). GTX102419
Anti-Albumin antibody used in Immunocytochemistry/ Immunofluorescence (ICC/IF). GTX102419
Anti-Albumin antibody used in Western Blot (WB). GTX102419
Anti-Albumin antibody used in IHC (Paraffin sections) (IHC-P). GTX102419
Anti-Albumin antibody used in IHC (Paraffin sections) (IHC-P). GTX102419
Anti-Albumin antibody used in Western Blot (WB). GTX102419
  • Host
    Rabbit
  • Clonality
    Polyclonal
  • Isotype
    IgG
  • Applications
    WB ICC/IF IHC-P IHC-Fr in vitro
  • Reactivity
    Human, Mouse, Rat, Cat, Dog
See all Albumin products