Alpha fetoprotein / AFP antibody [A2]

Cat. No. GTX60214
Cat. No.  GTX60214
Anti-Alpha fetoprotein / AFP antibody [A2] used in Western Blot (WB). GTX60214
GTX60214 WB Image

WB analysis of various samples using GTX60214 Alpha fetoprotein / AFP antibody [A2].
Dilution : 1:200
Lane 1 : rat brain lysates
Lane 2 : rat kidney lysates

1 / 2
Anti-Alpha fetoprotein / AFP antibody [A2] used in IHC (Paraffin sections) (IHC-P). GTX60214
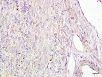
GTX60214 IHC-P Image

IHC-P analysis of human cervical carcinoma tissue using GTX60214 Alpha fetoprotein / AFP antibody [A2].
Dilution : 1:100

2 / 2
Anti-Alpha fetoprotein / AFP antibody [A2] used in Western Blot (WB). GTX60214
Anti-Alpha fetoprotein / AFP antibody [A2] used in IHC (Paraffin sections) (IHC-P). GTX60214
  • Host
    Mouse
  • Clonality
    Monoclonal
  • Clone Name
    A2
  • Isotype
    IgG
  • Applications
    WB IHC-P ELISA
  • Reactivity
    Human, Rat
See all Alpha fetoprotein / AFP products