Alpha fetoprotein / AFP antibody [A4]

Cat. No. GTX60215
Cat. No.  GTX60215
Anti-Alpha fetoprotein / AFP antibody [A4] used in Western Blot (WB). GTX60215
GTX60215 WB Image

WB analysis of human AFP protein lysates using GTX60215 Alpha fetoprotein / AFP antibody [A4].
Dilution : 1:300

1 / 2
Anti-Alpha fetoprotein / AFP antibody [A4] used in IHC (Paraffin sections) (IHC-P). GTX60215
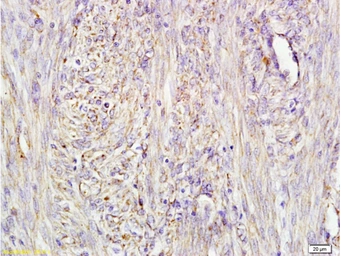
GTX60215 IHC-P Image

IHC-P analysis of human cervical carcinoma tissue using GTX60215 Alpha fetoprotein / AFP antibody [A4].
Dilution : 1:200

2 / 2
Anti-Alpha fetoprotein / AFP antibody [A4] used in Western Blot (WB). GTX60215
Anti-Alpha fetoprotein / AFP antibody [A4] used in IHC (Paraffin sections) (IHC-P). GTX60215
  • Host
    Mouse
  • Clonality
    Monoclonal
  • Clone Name
    A4
  • Isotype
    IgG
  • Applications
    WB IHC-P
  • Reactivity
    Human
See all Alpha fetoprotein / AFP products