Amphiphysin antibody, Internal

Cat. No. GTX89317
Cat. No.  GTX89317
Anti-Amphiphysin antibody, Internal used in Western Blot (WB). GTX89317
GTX89317 WB Image

WB analysis of mouse brain lysate using GTX89317 Amphiphysin antibody, Internal.
Dilution : 0.5μg/ml
Loading : 35μg protein in RIPA buffer

1 / 2
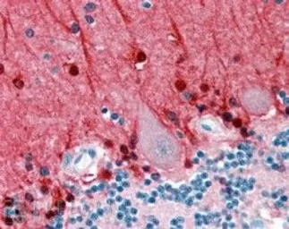
Anti-Amphiphysin antibody, Internal used in IHC (Paraffin sections) (IHC-P). GTX89317
GTX89317 IHC-P Image

IHC-P analysis of human cerebellum using GTX89317 Amphiphysin antibody, Internal.
Antigen retrieval : citrate buffer pH 6
Dilution : 2.5μg/ml

2 / 2
Anti-Amphiphysin antibody, Internal used in Western Blot (WB). GTX89317
Anti-Amphiphysin antibody, Internal used in IHC (Paraffin sections) (IHC-P). GTX89317
  • Host
    Goat
  • Clonality
    Polyclonal
  • Isotype
    IgG
  • Applications
    WB IHC-P
  • Reactivity
    Human, Mouse
See all Amphiphysin products