Angiopoietin 2 antibody [HL3911]

Cat. No. GTX642156
Cat. No.  GTX642156
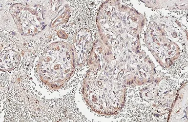
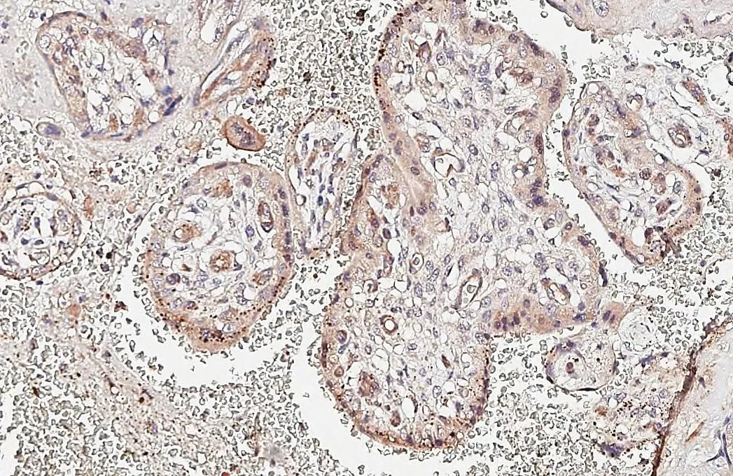
Anti-Angiopoietin 2 antibody [HL3911] used in IHC (Paraffin sections) (IHC-P). GTX642156
GTX642156 IHC-P Image

Angiopoietin 2 antibody [HL3911] detects Angiopoietin 2 protein by immunohistochemical analysis.
Sample: Paraffin-embedded human placenta.
Angiopoietin 2 stained by Angiopoietin 2 antibody [HL3911] (GTX642156) diluted at 1:50.
Antigen Retrieval: Citrate buffer, pH 6.0, 15 min

1 / 1
Anti-Angiopoietin 2 antibody [HL3911] used in IHC (Paraffin sections) (IHC-P). GTX642156
  • Host
    Rabbit
  • Clonality
    Monoclonal
  • Clone Name
    HL3911
  • Isotype
    IgG
  • Applications
    IHC-P
  • Reactivity
    Human
See all Angiopoietin 2 products