Annexin III antibody

Cat. No. GTX65903
Cat. No.  GTX65903
Anti-Annexin III antibody used in Immunocytochemistry/ Immunofluorescence (ICC/IF). GTX65903
GTX65903 ICC/IF Image

ICC/IF analysis of HeLa cells using GTX65903 Annexin III antibody.
Blue : DAPI
Dilution : 1:100

1 / 2
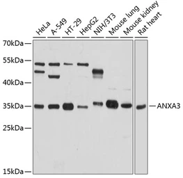
Anti-Annexin III antibody used in Western Blot (WB). GTX65903
GTX65903 WB Image

WB analysis of various sample lysates using GTX65903 Annexin III antibody.
Dilution : 1:3000
Loading : 25μg per lane

2 / 2
Anti-Annexin III antibody used in Immunocytochemistry/ Immunofluorescence (ICC/IF). GTX65903
Anti-Annexin III antibody used in Western Blot (WB). GTX65903
  • Host
    Rabbit
  • Clonality
    Polyclonal
  • Isotype
    IgG
  • Applications
    WB ICC/IF
  • Reactivity
    Human, Mouse, Rat
See all Annexin III products