Apc6 antibody

Cat. No. GTX17065
Cat. No.  GTX17065
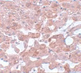
Anti-Apc6 antibody used in IHC (Paraffin sections) (IHC-P). GTX17065
GTX17065 IHC-P Image

IHC-P analysis of human liver tissue using GTX17065 Apc6 antibody.
Working concentration : 20 μg/ml

1 / 3
Anti-Apc6 antibody used in Western Blot (WB). GTX17065
GTX17065 WB Image

WB analysis of human liver tissue lysate using GTX17065 Apc6 antibody.
Working concentration : (A) 1 and (B) 2 μg/ml

2 / 3
Anti-Apc6 antibody used in IHC (Paraffin sections) (IHC-P). GTX17065
GTX17065 IHC-P Image

IHC-P analysis of human liver tissue using GTX17065 Apc6 antibody.
Working concentration : 5 μg/ml

3 / 3
Anti-Apc6 antibody used in IHC (Paraffin sections) (IHC-P). GTX17065
Anti-Apc6 antibody used in Western Blot (WB). GTX17065
Anti-Apc6 antibody used in IHC (Paraffin sections) (IHC-P). GTX17065
  • Host
    Rabbit
  • Clonality
    Polyclonal
  • Isotype
    IgG
  • Applications
    WB IHC-P ELISA
  • Reactivity
    Human, Mouse
See all Apc6 products