Apg8 antibody

Cat. No. GTX24753
Cat. No.  GTX24753
Anti-Apg8 antibody used in  (). GTX24753
GTX24753 Image
1 / 2
Anti-Apg8 antibody used in Western Blot (WB). GTX24753
GTX24753 WB Image

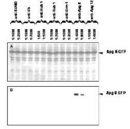
Western blot of APG8 fusion protein. Anti-APG8 antibody generated by immunization with recombinant yeast APG8 was tested by western blot with other anti-UBL antibodies against E.coli lysates expressing the APG8-GFP fusion protein. All UBLs possess limited homology to Ubiquitin and to each other, therefore it is important to know the degree of reactivity of each antibody against each UBL. Panel A shows total protein staining using ponceau. Panel B shows specific reaction with APG8 using a 1:4,000 and 1:8,000 dilution of GeneTex's IgG fraction of Rabbit-anti-APG8 (Yeast) followed by reaction with a 1:15,000 dilution of HRP Goat-anti-Rabbit IgG

2 / 2
Anti-Apg8 antibody used in  (). GTX24753
Anti-Apg8 antibody used in Western Blot (WB). GTX24753
  • Host
    Rabbit
  • Clonality
    Polyclonal
  • Isotype
    IgG
  • Applications
    WB IP ELISA IHC
  • Reactivity
    Yeast
See all Apg8 products