Apolipoprotein B antibody

Cat. No. GTX135994
Cat. No.  GTX135994
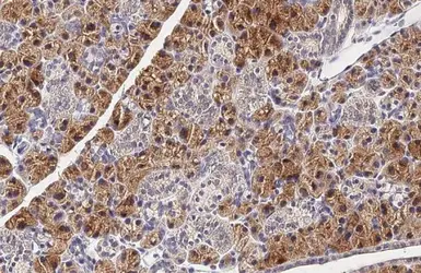
Anti-Apolipoprotein B antibody used in IHC (Paraffin sections) (IHC-P). GTX135994
GTX135994 IHC-P Image

Apolipoprotein B antibody detects secreted Apolipoprotein B protein by immunohistochemical analysis.
Sample: Paraffin-embedded mouse salivary gland.
Apolipoprotein B stained by Apolipoprotein B antibody (GTX135994) diluted at 1:500.
Antigen Retrieval: Citrate buffer, pH 6.0, 15 min

1 / 5
Anti-Apolipoprotein B antibody used in ELISA (ELISA). GTX135994
GTX135994 ELISA Image

Indirect ELISA analysis performed by coating plate with recombinant apolipoprotein B (7.27-0.11 nM). Coated protein was probed with Apolipoprotein B antibody (GTX135994) (1 μg/mL). Goat anti-rabbit IgG antibody (HRP) (GTX213110-01) (1:10000) was used to detect bound primary antibody.

2 / 5
Anti-Apolipoprotein B antibody used in Western Blot (WB). GTX135994
GTX135994 WB Image

HepG2 whole cell extract and conditioned medium (30 μg) were separated by 5% SDS-PAGE, and the membrane was blotted with Apolipoprotein B antibody (GTX135994) diluted at 1:1000. The HRP-conjugated anti-rabbit IgG antibody (GTX213110-01) was used to detect the primary antibody.

3 / 5
Anti-Apolipoprotein B antibody used in Western Blot (WB). GTX135994
GTX135994 WB Image

Mouse plasma (30 μg) was separated by 5% SDS-PAGE, and the membrane was blotted with Apolipoprotein B antibody (GTX135994) diluted at 1:1000. The HRP-conjugated anti-rabbit IgG antibody (GTX213110-01) was used to detect the primary antibody.

4 / 5
Anti-Apolipoprotein B antibody used in Western Blot (WB). GTX135994
GTX135994 WB Image

Human plasma (30 μg) was separated by 5% SDS-PAGE, and the membrane was blotted with Apolipoprotein B antibody (GTX135994) diluted at 1:1000. The HRP-conjugated anti-rabbit IgG antibody (GTX213110-01) was used to detect the primary antibody.

5 / 5
Anti-Apolipoprotein B antibody used in IHC (Paraffin sections) (IHC-P). GTX135994
Anti-Apolipoprotein B antibody used in ELISA (ELISA). GTX135994
Anti-Apolipoprotein B antibody used in Western Blot (WB). GTX135994
Anti-Apolipoprotein B antibody used in Western Blot (WB). GTX135994
Anti-Apolipoprotein B antibody used in Western Blot (WB). GTX135994
  • Host
    Rabbit
  • Clonality
    Polyclonal
  • Isotype
    IgG
  • Applications
    WB IHC-P ELISA
  • Reactivity
    Human, Mouse
See all Apolipoprotein B products