Aurora A (phospho Thr288) antibody

Cat. No. GTX50345
Cat. No.  GTX50345
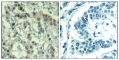
Anti-Aurora A (phospho Thr288) antibody used in IHC (Paraffin sections) (IHC-P). GTX50345
GTX50345 IHC-P Image

IHC-P analysis of human breast carcinoma tissue using GTX50345 Aurora A (phospho Thr288) antibody.
Left : Primary antibody
Right : Primary antibody pre-incubated with the antigen specific peptide

1 / 2
Anti-Aurora A (phospho Thr288) antibody used in Western Blot (WB). GTX50345
GTX50345 WB Image

WB analysis of extracts from HT-29 cells treated with Hydroxyurea or calf intestinal phosphatase (CIP) using GTX50345 Aurora A (phospho Thr288) antibody.

2 / 2
Anti-Aurora A (phospho Thr288) antibody used in IHC (Paraffin sections) (IHC-P). GTX50345
Anti-Aurora A (phospho Thr288) antibody used in Western Blot (WB). GTX50345
  • Host
    Rabbit
  • Clonality
    Polyclonal
  • Isotype
    IgG
  • Applications
    WB IHC-P
  • Reactivity
    Human
See all Aurora A products