Autotaxin antibody [HL3488]

Cat. No. GTX641376
Cat. No.  GTX641376
Anti-Autotaxin antibody [HL3488] used in Immunocytochemistry/ Immunofluorescence (ICC/IF). GTX641376
GTX641376 ICC/IF Image

Autotaxin antibody [HL3488] detects Autotaxin protein by immunofluorescent analysis.
Sample: U87-MG cells were fixed in 4% paraformaldehyde at RT for 15 min.
Green: Autotaxin stained by Autotaxin antibody [HL3488] (GTX641376) diluted at 1:500.
Red: alpha Tubulin, a cytoskeleton marker, stained by alpha Tubulin antibody [GT114] (GTX628802) diluted at 1:1000.
Blue: Fluoroshield with DAPI (GTX30920).

1 / 4
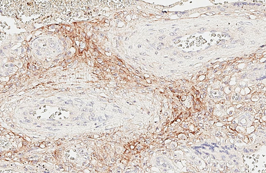
Anti-Autotaxin antibody [HL3488] used in IHC (Paraffin sections) (IHC-P). GTX641376
GTX641376 IHC-P Image

Autotaxin antibody [HL3488] detects secreted Autotaxin protein by immunohistochemical analysis.
Sample: Paraffin-embedded human placenta.
Autotaxin stained by Autotaxin antibody [HL3488] (GTX641376) diluted at 1:200.
Antigen Retrieval: Citrate buffer, pH 6.0, 15 min

2 / 4
Anti-Autotaxin antibody [HL3488] used in Western Blot (WB). GTX641376
GTX641376 WB Image

U87-MG whole cell extract and conditioned medium (30 μg) were separated by 7.5% SDS-PAGE, and the membrane was blotted with Autotaxin antibody [HL3488] (GTX641376) diluted at 1:10000. The HRP-conjugated anti-rabbit IgG antibody (GTX213110-01) was used to detect the primary antibody.

3 / 4
Anti-Autotaxin antibody [HL3488] used in Western Blot (WB). GTX641376
GTX641376 WB Image

Whole cell extract (30 μg) was separated by 7.5% SDS-PAGE, and the membrane was blotted with Autotaxin antibody [HL3488] (GTX641376) diluted at 1:1000. The HRP-conjugated anti-rabbit IgG antibody (GTX213110-01) was used to detect the primary antibody.

4 / 4
Anti-Autotaxin antibody [HL3488] used in Immunocytochemistry/ Immunofluorescence (ICC/IF). GTX641376
Anti-Autotaxin antibody [HL3488] used in IHC (Paraffin sections) (IHC-P). GTX641376
Anti-Autotaxin antibody [HL3488] used in Western Blot (WB). GTX641376
Anti-Autotaxin antibody [HL3488] used in Western Blot (WB). GTX641376
  • Host
    Rabbit
  • Clonality
    Monoclonal
  • Clone Name
    HL3488
  • Isotype
    IgG
  • Applications
    WB ICC/IF IHC-P
  • Reactivity
    Human
See all Autotaxin products