Avian Influenza A virus H5N8 HA (Hemagglutinin) antibody [HL1550]

Cat. No. GTX637025
Cat. No.  GTX637025
Anti-Avian Influenza A virus H5N8 HA (Hemagglutinin) antibody [HL1550] used in Western Blot (WB). GTX637025
GTX637025 WB Image

Non-transfected (–) and transfected (+) 293T whole cell extracts (30 μg) were separated by 7.5% SDS-PAGE, and the membrane was blotted with Avian Influenza A virus H5N8 HA (Hemagglutinin) antibody [HL1550] (GTX637025) diluted at 1:100000. The HRP-conjugated anti-rabbit IgG antibody (GTX213110-01) was used to detect the primary antibody.

1 / 4
Anti-Avian Influenza A virus H5N8 HA (Hemagglutinin) antibody [HL1550] used in ELISA (ELISA). GTX637025
GTX637025 ELISA Image

Indirect ELISA analysis was performed by coating the plate with recombinant HEK293 expressed, full-length Avian Influenza A virus HSN8 HA (Hemagglutinin) protein (63.49-0.99 nM). Coated protein was probed with Avian Influenza A virus H5N8 HA (Hemagglutinin) antibody [HL1550] (GTX637025) (1 μg/mL). Goat anti-rabbit IgG antibody (HRP) (GTX213110-01) (1:10000) was used to detect the bound primary antibody.

2 / 4
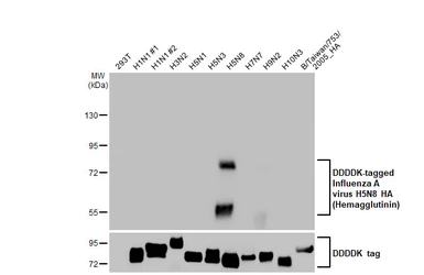
Anti-Avian Influenza A virus H5N8 HA (Hemagglutinin) antibody [HL1550] used in Western Blot (WB). GTX637025
GTX637025 WB Image

Non-transfected and transfected 293T whole cell extracts were separated by 7.5% SDS-PAGE, and the membrane was blotted with Avian Influenza A virus H5N8 HA (Hemagglutinin) antibody [HL1550] (GTX637025) diluted at 1:5000. The HRP-conjugated anti-rabbit IgG antibody (GTX213110-01) was used to detect the primary antibody.

3 / 4
Anti-Avian Influenza A virus H5N8 HA (Hemagglutinin) antibody [HL1550] used in IHC-P (cell pellet) (IHC-P (cell pellet)). GTX637025
GTX637025 IHC-P (cell pellet) Image

Avian Influenza A virus H5N8 HA (Hemagglutinin) antibody [HL1550] detects Avian Influenza A virus H5N8 HA (Hemagglutinin) protein at cytoplasm by immunohistochemical analysis. Sample: Paraffin-embedded mock and Avian Influenza A virus H5N8 HA - transfected 293T cell pellet. Green: Avian Influenza A virus H5N8 HA (Hemagglutinin) stained by Avian Influenza A virus H5N8 HA (Hemagglutinin) antibody [HL1550] (GTX637025) diluted at 1:1000. Blue: Fluoroshield with DAPI (GTX30920). Antigen Retrieval: Citrate buffer, pH 6.0, 15 min

4 / 4
Anti-Avian Influenza A virus H5N8 HA (Hemagglutinin) antibody [HL1550] used in Western Blot (WB). GTX637025
Anti-Avian Influenza A virus H5N8 HA (Hemagglutinin) antibody [HL1550] used in ELISA (ELISA). GTX637025
Anti-Avian Influenza A virus H5N8 HA (Hemagglutinin) antibody [HL1550] used in Western Blot (WB). GTX637025
Anti-Avian Influenza A virus H5N8 HA (Hemagglutinin) antibody [HL1550] used in IHC-P (cell pellet) (IHC-P (cell pellet)). GTX637025
  • Host
    Rabbit
  • Clonality
    Monoclonal
  • Clone Name
    HL1550
  • Isotype
    IgG
  • Applications
    WB ELISA IHC-P (cell pellet)
  • Reactivity
    Avian Influenza A virus, Influenza A virus
See all Avian Influenza A virus HA5 products