B4GALT3 antibody

Cat. No. GTX87547
Cat. No.  GTX87547
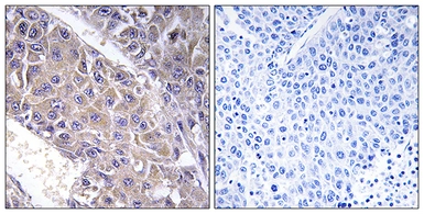
Anti-B4GALT3 antibody used in IHC (Paraffin sections) (IHC-P). GTX87547
GTX87547 IHC-P Image

IHC-P analysis of human liver carcinoma tissue using GTX87547 B4GALT3 antibody. The picture on the right is blocked with the synthesized peptide.

1 / 2
Anti-B4GALT3 antibody used in Western Blot (WB). GTX87547
GTX87547 WB Image

WB analysis of Jurkat, HeLa, and HepG2 cell lysates using GTX87547 B4GALT3 antibody. The lane on the right is blocked with the synthesized peptide.

2 / 2
Anti-B4GALT3 antibody used in IHC (Paraffin sections) (IHC-P). GTX87547
Anti-B4GALT3 antibody used in Western Blot (WB). GTX87547
  • Host
    Rabbit
  • Clonality
    Polyclonal
  • Isotype
    IgG
  • Applications
    WB IHC-P
  • Reactivity
    Human
See all B4GALT3 products