BAAT antibody

Cat. No. GTX109917
Cat. No.  GTX109917
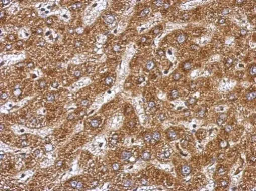
Anti-BAAT antibody used in IHC (Paraffin sections) (IHC-P). GTX109917
GTX109917 IHC-P Image

Immunohistochemical analysis of paraffin-embedded human hepatoma, using BAAT(GTX109917) antibody at 1:500 dilution.
Antigen Retrieval: Trilogy™ (EDTA based, pH 8.0) buffer, 15min

1 / 2
Anti-BAAT antibody used in Western Blot (WB). GTX109917
GTX109917 WB Image

Sample (30 ug of whole cell lysate)
A: A431
B: HeLa
10% SDS PAGE
GTX109917 diluted at 1:1000

2 / 2
Anti-BAAT antibody used in IHC (Paraffin sections) (IHC-P). GTX109917
Anti-BAAT antibody used in Western Blot (WB). GTX109917
  • Host
    Rabbit
  • Clonality
    Polyclonal
  • Isotype
    IgG
  • Applications
    WB IHC-P
  • Reactivity
    Human
See all BAAT products