BACE1 antibody [HL5067]

Cat. No. GTX645257
Cat. No.  GTX645257
Anti-BACE1 antibody [HL5067] used in Western Blot (WB). GTX645257
GTX645257 WB Image

Untreated (–) and treated (+) boiled and unboiled various tissue extracts (50 μg) were separated by 7.5% SDS-PAGE, and the membrane was blotted with BACE1 antibody [HL5067] (GTX645257) diluted at 1:1000. The HRP-conjugated anti-rabbit IgG antibody (GTX213110-01) was used to detect the primary antibody, and the signal was developed with Trident femto Western HRP Substrate.

1 / 6
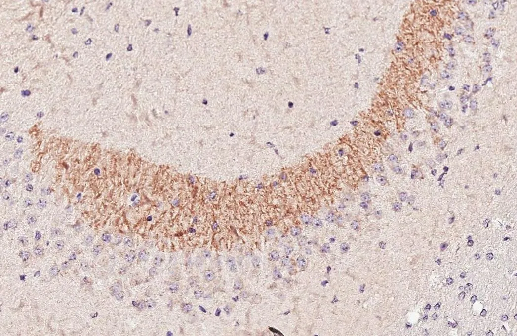
Anti-BACE1 antibody [HL5067] used in IHC (Paraffin sections) (IHC-P). GTX645257
GTX645257 IHC-P Image

BACE1 antibody [HL5067] detects BACE1 protein by immunohistochemical analysis.
Sample: Paraffin-embedded mouse hippocampus.
BACE1 stained by BACE1 antibody [HL5067] (GTX645257) diluted at 1:100.
Antigen Retrieval: Tris-EDTA buffer, pH 9.0, 15 min

2 / 6
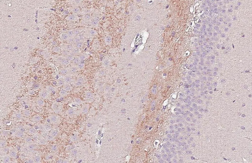
Anti-BACE1 antibody [HL5067] used in IHC (Paraffin sections) (IHC-P). GTX645257
GTX645257 IHC-P Image

BACE1 antibody [HL5067] detects BACE1 protein by immunohistochemical analysis.
Sample: Paraffin-embedded rat hippocampus.
BACE1 stained by BACE1 antibody [HL5067] (GTX645257) diluted at 1:100.
Antigen Retrieval: Tris-EDTA buffer, pH 9.0, 15 min

3 / 6
Anti-BACE1 antibody [HL5067] used in Western Blot (WB). GTX645257
GTX645257 WB Image

Various tissue extracts (50 μg) were separated by 10% SDS-PAGE, and the membrane was blotted with BACE1 antibody [HL5067] (GTX645257) diluted at 1:1000. The HRP-conjugated anti-rabbit IgG antibody (GTX213110-01) was used to detect the primary antibody, and the signal was developed with Trident femto Western HRP Substrate. Corresponding RNA expression data are based on NCBI database.

4 / 6
Anti-BACE1 antibody [HL5067] used in Western Blot (WB). GTX645257
GTX645257 WB Image

Various tissue extracts (50 μg) were separated by 10% SDS-PAGE, and the membrane was blotted with BACE1 antibody [HL5067] (GTX645257) diluted at 1:1000. The HRP-conjugated anti-rabbit IgG antibody (GTX213110-01) was used to detect the primary antibody, and the signal was developed with Trident femto Western HRP Substrate. Corresponding RNA expression data are based on NCBI database.

5 / 6
Anti-BACE1 antibody [HL5067] used in Western Blot (WB). GTX645257
GTX645257 WB Image

Various whole cell extracts (30 μg) were separated by 10% SDS-PAGE, and the membrane was blotted with BACE1 antibody [HL5067] (GTX645257) diluted at 1:1000. The HRP-conjugated anti-rabbit IgG antibody (GTX213110-01) was used to detect the primary antibody, and the signal was developed with Trident femto Western HRP Substrate. Corresponding RNA expression data are based on Human Protein Atlas program.

6 / 6
Anti-BACE1 antibody [HL5067] used in Western Blot (WB). GTX645257
Anti-BACE1 antibody [HL5067] used in IHC (Paraffin sections) (IHC-P). GTX645257
Anti-BACE1 antibody [HL5067] used in IHC (Paraffin sections) (IHC-P). GTX645257
Anti-BACE1 antibody [HL5067] used in Western Blot (WB). GTX645257
Anti-BACE1 antibody [HL5067] used in Western Blot (WB). GTX645257
Anti-BACE1 antibody [HL5067] used in Western Blot (WB). GTX645257
  • Host
    Rabbit
  • Clonality
    Monoclonal
  • Clone Name
    HL5067
  • Isotype
    IgG
  • Applications
    WB IHC-P
  • Reactivity
    Human, Mouse, Rat
See all BACE1 products