BAF57 antibody, C-term

Cat. No. GTX89755
Cat. No.  GTX89755
Anti-BAF57 antibody, C-term used in IHC (Paraffin sections) (IHC-P). GTX89755
GTX89755 IHC-P Image

IHC-P analysis of human prostate using GTX89755 BAF57 antibody, C-term.
It shows nuclear staining in secretory epithelial cells.
Dilution : 3-5μg/ml

1 / 2
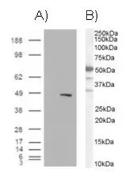
Anti-BAF57 antibody, C-term used in Western Blot (WB). GTX89755
GTX89755 WB Image

WB analysis of (A) HEK293 overexpressing BAF57 (mock transfection in first lane) (B) Jurkat lysate (35μg) using GTX89755 BAF57 antibody, C-term.

2 / 2
Anti-BAF57 antibody, C-term used in IHC (Paraffin sections) (IHC-P). GTX89755
Anti-BAF57 antibody, C-term used in Western Blot (WB). GTX89755
  • Host
    Goat
  • Clonality
    Polyclonal
  • Isotype
    IgG
  • Applications
    WB IHC-P
  • Reactivity
    Human
See all BAF57 products