BAT1 antibody [2C5]

Cat. No. GTX84837
Cat. No.  GTX84837
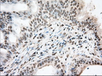
Anti-BAT1 antibody [2C5] used in IHC (Paraffin sections) (IHC-P). GTX84837
GTX84837 IHC-P Image

IHC-P analysis of human prostate tissue using GTX84837 BAT1 antibody [2C5].
Antigen retrieval : Heat-induced epitope retrieval by 10mM citrate buffer, pH6.0, 100ºC for 10min.
Dilution : 1:50

1 / 5
Anti-BAT1 antibody [2C5] used in IHC (Paraffin sections) (IHC-P). GTX84837
GTX84837 IHC-P Image

IHC-P analysis of human ovary adenocarcinoma tissue using GTX84837 BAT1 antibody [2C5].
Antigen retrieval : Heat-induced epitope retrieval by 10mM citrate buffer, pH6.0, 100ºC for 10min.
Dilution : 1:50

2 / 5
Anti-BAT1 antibody [2C5] used in Western Blot (WB). GTX84837
GTX84837 WB Image

WB analysis of various cell lines using GTX84837 BAT1 antibody [2C5].
Loading : 35 ug per lane
Dilution : 1:200

3 / 5
Anti-BAT1 antibody [2C5] used in IHC (Paraffin sections) (IHC-P). GTX84837
GTX84837 IHC-P Image

IHC-P analysis of human colon adenocarcinoma tissue using GTX84837 BAT1 antibody [2C5].
Antigen retrieval : Heat-induced epitope retrieval by 10mM citrate buffer, pH6.0, 100ºC for 10min.
Dilution : 1:50

4 / 5
Anti-BAT1 antibody [2C5] used in Western Blot (WB). GTX84837
GTX84837 WB Image

WB analysis of HEK293T cells transfected with BAT1 plasmid (Right) or empty vector (Left) for 48 hrs using GTX84837 BAT1 antibody [2C5].
Loading : 5 ug per lane

5 / 5
Anti-BAT1 antibody [2C5] used in IHC (Paraffin sections) (IHC-P). GTX84837
Anti-BAT1 antibody [2C5] used in IHC (Paraffin sections) (IHC-P). GTX84837
Anti-BAT1 antibody [2C5] used in Western Blot (WB). GTX84837
Anti-BAT1 antibody [2C5] used in IHC (Paraffin sections) (IHC-P). GTX84837
Anti-BAT1 antibody [2C5] used in Western Blot (WB). GTX84837
  • Host
    Mouse
  • Clonality
    Monoclonal
  • Clone Name
    2C5
  • Isotype
    IgG2b
  • Applications
    WB IHC-P
  • Reactivity
    Human, Mouse, Dog, Monkey
See all BAT1 products