BCAS2 antibody

Cat. No. GTX115390
Cat. No.  GTX115390
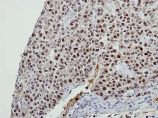
Anti-BCAS2 antibody used in IHC (Paraffin sections) (IHC-P). GTX115390
GTX115390 IHC-P Image

Immunohistochemical analysis of paraffin-embedded J5 xenograft, using BCAS2(GTX115390) antibody at 1:100 dilution.
Antigen Retrieval: Citrate buffer, pH 6.0, 15 min

1 / 5
Anti-BCAS2 antibody used in Western Blot (WB). GTX115390
GTX115390 WB Image

Sample (30 ug of whole cell lysate)
A: MCF-7
12% SDS PAGE
GTX115390 diluted at 1:1000

2 / 5
Anti-BCAS2 antibody used in Western Blot (WB). GTX115390
GTX115390 WB Image

Various whole cell extracts (30 μg) were separated by 12% SDS-PAGE, and the membrane was blotted with BCAS2 antibody (GTX115390) diluted at 1:1000. The HRP-conjugated anti-rabbit IgG antibody (GTX213110-01) was used to detect the primary antibody.

3 / 5
Anti-BCAS2 antibody used in Immunocytochemistry/ Immunofluorescence (ICC/IF). GTX115390
GTX115390 ICC/IF Image

Immunofluorescence analysis of paraformaldehyde-fixed HeLa, using BCAS2(GTX115390) antibody at 1:200 dilution.

4 / 5
Anti-BCAS2 antibody used in Western Blot (WB). GTX115390
GTX115390 WB Image

Various whole cell extracts (30 μg) were separated by 12% SDS-PAGE, and the membrane was blotted with BCAS2 antibody (GTX115390) diluted at 1:1000. The HRP-conjugated anti-rabbit IgG antibody (GTX213110-01) was used to detect the primary antibody.

5 / 5
Anti-BCAS2 antibody used in IHC (Paraffin sections) (IHC-P). GTX115390
Anti-BCAS2 antibody used in Western Blot (WB). GTX115390
Anti-BCAS2 antibody used in Western Blot (WB). GTX115390
Anti-BCAS2 antibody used in Immunocytochemistry/ Immunofluorescence (ICC/IF). GTX115390
Anti-BCAS2 antibody used in Western Blot (WB). GTX115390
  • Host
    Rabbit
  • Clonality
    Polyclonal
  • Isotype
    IgG
  • Applications
    WB ICC/IF IHC-P
  • Reactivity
    Human, Mouse, Rat
See all BCAS2 products