BEND2 antibody [N3C2], Internal

Cat. No. GTX120655
Cat. No.  GTX120655
Anti-BEND2 antibody [N3C2], Internal used in Western Blot (WB). GTX120655
GTX120655 WB Image

Sample (30 ug of whole cell lysate)
A: U87-MG
7.5% SDS PAGE
GTX120655 diluted at 1:1000

1 / 2
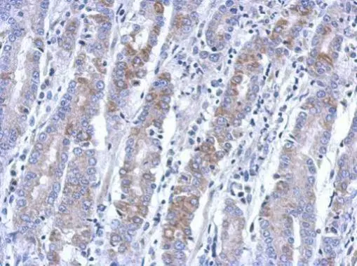
Anti-BEND2 antibody [N3C2], Internal used in IHC (Paraffin sections) (IHC-P). GTX120655
GTX120655 IHC-P Image

Immunohistochemical analysis of paraffin-embedded human colon carcinoma, using BEND2(GTX120655) antibody at 1:500 dilution.
Antigen Retrieval: Trilogy™ (EDTA based, pH 8.0) buffer, 15min

2 / 2
Anti-BEND2 antibody [N3C2], Internal used in Western Blot (WB). GTX120655
Anti-BEND2 antibody [N3C2], Internal used in IHC (Paraffin sections) (IHC-P). GTX120655
  • Host
    Rabbit
  • Clonality
    Polyclonal
  • Isotype
    IgG
  • Applications
    WB IHC-P
  • Reactivity
    Human
See all BEND2 products