BLK antibody [9D10B7]

Cat. No. GTX83154
Cat. No.  GTX83154
Anti-BLK antibody [9D10B7] used in Western Blot (WB). GTX83154
GTX83154 WB Image

WB analysis of truncated BLK recombinant protein (1)Raji cell lysate (2) using GTX83154 BLK antibody [9D10B7].

1 / 2
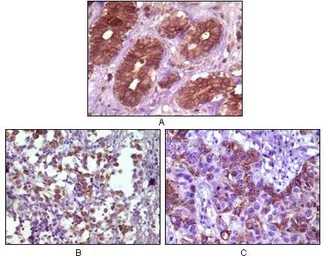
Anti-BLK antibody [9D10B7] used in IHC (Paraffin sections) (IHC-P). GTX83154
GTX83154 IHC-P Image

IHC-P analysis of human breast tissue (A), lymph tissue (B) and skin carcinoma (C) using GTX83154 BLK antibody [9D10B7].

2 / 2
Anti-BLK antibody [9D10B7] used in Western Blot (WB). GTX83154
Anti-BLK antibody [9D10B7] used in IHC (Paraffin sections) (IHC-P). GTX83154
  • Host
    Mouse
  • Clonality
    Monoclonal
  • Clone Name
    9D10B7
  • Isotype
    IgG1
  • Applications
    WB IHC-P ELISA
  • Reactivity
    Human
See all BLK products