BLK (phospho Tyr501) antibody

Cat. No. GTX55328
Cat. No.  GTX55328
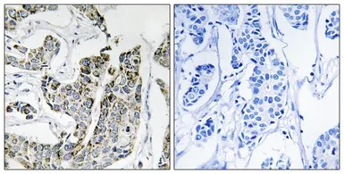
Anti-BLK (phospho Tyr501) antibody used in IHC (Paraffin sections) (IHC-P). GTX55328
GTX55328 IHC-P Image

IHC-P analysis of human breast carcinoma tissue using GTX55328 BLK (phospho Tyr501) antibody.
Left : Primary antibody
Right : Primary antibody pre-incubated with the antigen specific peptide

1 / 1
Anti-BLK (phospho Tyr501) antibody used in IHC (Paraffin sections) (IHC-P). GTX55328
  • Host
    Rabbit
  • Clonality
    Polyclonal
  • Isotype
    IgG
  • Applications
    IHC-P
  • Reactivity
    Human
See all BLK products