BMAL1 antibody [HL2456]

Cat. No. GTX638774
Cat. No.  GTX638774
Anti-BMAL1 antibody [HL2456] used in Western Blot (WB). GTX638774
GTX638774 WB Image

Non-transfected (–) and transfected (+) HCT-116 whole cell extract (30 μg) were separated by 7.5% SDS-PAGE, and the membrane was blotted with BMAL1 antibody [HL2456] (GTX638774) diluted at 1:1000. The HRP-conjugated anti-rabbit IgG antibody (GTX213110-01) was used to detect the primary antibody.

1 / 7
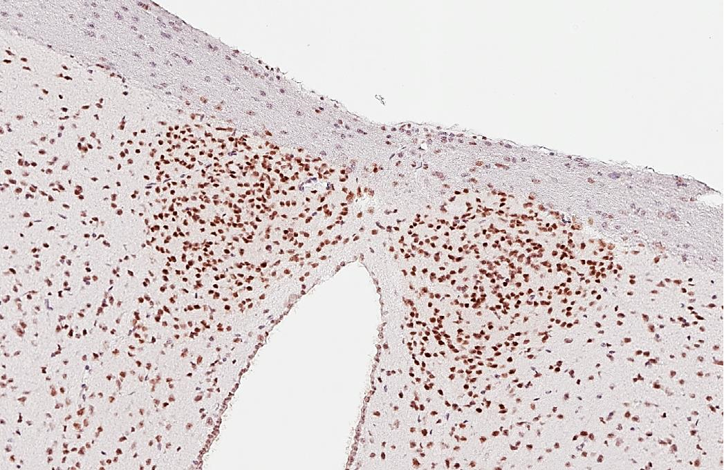
Anti-BMAL1 antibody [HL2456] used in IHC (Paraffin sections) (IHC-P). GTX638774
GTX638774 IHC-P Image

BMAL1 antibody [HL2456] detects BMAL1 protein by immunohistochemical analysis.
Sample: Paraffin-embedded mouse suprachiasmatic nucleus.
BMAL1 stained by BMAL1 antibody [HL2456] (GTX638774) diluted at 1:200.
Antigen Retrieval: Tris-EDTA buffer, pH 9.0, 15 min

2 / 7
Anti-BMAL1 antibody [HL2456] used in Western Blot (WB). GTX638774
GTX638774 WB Image

Untreated and treated 293T whole cell extracts (30 μg) were separated by 7.5% SDS-PAGE, and the membrane was blotted with BMAL1 antibody [HL2456] (GTX638774) diluted at 1:1000. The HRP-conjugated anti-rabbit IgG antibody (GTX213110-01) was used to detect the primary antibody.

3 / 7
Anti-BMAL1 antibody [HL2456] used in Western Blot (WB). GTX638774
GTX638774 WB Image

Mouse tissue extract (50 μg) was separated by 7.5% SDS-PAGE, and the membrane was blotted with BMAL1 antibody [HL2456] (GTX638774) diluted at 1:1000. The HRP-conjugated anti-rabbit IgG antibody (GTX213110-01) was used to detect the primary antibody, and the signal was developed with Trident ECL plus-Enhanced.

4 / 7
Anti-BMAL1 antibody [HL2456] used in Western Blot (WB). GTX638774
GTX638774 WB Image

Various whole cell extracts (30 μg) were separated by 7.5% SDS-PAGE, and the membrane was blotted with BMAL1 antibody [HL2456] (GTX638774) diluted at 1:1000. The HRP-conjugated anti-rabbit IgG antibody (GTX213110-01) was used to detect the primary antibody, and the signal was developed with Trident ECL plus-Enhanced. Corresponding RNA expression data for the same cell lines are based on Human Protein Atlas program.

5 / 7
Anti-BMAL1 antibody [HL2456] used in Immunocytochemistry/ Immunofluorescence (ICC/IF). GTX638774
GTX638774 ICC/IF Image

BMAL1 antibody [HL2456] detects BMAL1 protein at cytoplasm and nucleus by immunofluorescent analysis.
Sample: HCT-116 cells were fixed in 4% paraformaldehyde at RT for 15 min.
Green: BMAL1 stained by BMAL1 antibody [HL2456] (GTX638774) diluted at 1:500.
Red: alpha Tubulin, a cytoskeleton marker, stained by alpha Tubulin antibody [GT114] (GTX628802) diluted at 1:1000.

6 / 7
Anti-BMAL1 antibody [HL2456] used in IHC (Paraffin sections) (IHC-P). GTX638774
GTX638774 IHC-P Image

BMAL1 antibody [HL2456] detects BMAL1 protein at cytoplasm and nucleus by immunohistochemical analysis.
Sample: Paraffin-embedded rat intestine.
BMAL1 stained by BMAL1 antibody [HL2456] (GTX638774) diluted at 1:100.
Antigen Retrieval: Citrate buffer, pH 6.0, 15 min

7 / 7
Anti-BMAL1 antibody [HL2456] used in Western Blot (WB). GTX638774
Anti-BMAL1 antibody [HL2456] used in IHC (Paraffin sections) (IHC-P). GTX638774
Anti-BMAL1 antibody [HL2456] used in Western Blot (WB). GTX638774
Anti-BMAL1 antibody [HL2456] used in Western Blot (WB). GTX638774
Anti-BMAL1 antibody [HL2456] used in Western Blot (WB). GTX638774
Anti-BMAL1 antibody [HL2456] used in Immunocytochemistry/ Immunofluorescence (ICC/IF). GTX638774
Anti-BMAL1 antibody [HL2456] used in IHC (Paraffin sections) (IHC-P). GTX638774
  • Host
    Rabbit
  • Clonality
    Monoclonal
  • Clone Name
    HL2456
  • Isotype
    IgG
  • Applications
    WB ICC/IF IHC-P
  • Reactivity
    Human, Mouse, Rat
See all BMAL1 products