BMP3 antibody

Cat. No. GTX65951
Cat. No.  GTX65951
Anti-BMP3 antibody used in Western Blot (WB). GTX65951
GTX65951 WB Image

WB analysis of various sample lysates using GTX65951 BMP3 antibody.
Dilution : 1:1000
Loading : 25μg per lane

1 / 5
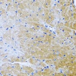
Anti-BMP3 antibody used in IHC (Paraffin sections) (IHC-P). GTX65951
GTX65951 IHC-P Image

IHC-P analysis of rat heart tissue using GTX65951 BMP3 antibody.
Dilution : 1:100

2 / 5
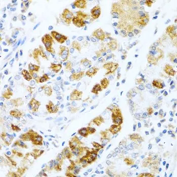
Anti-BMP3 antibody used in IHC (Paraffin sections) (IHC-P). GTX65951
GTX65951 IHC-P Image

IHC-P analysis of human stomach tissue using GTX65951 BMP3 antibody.
Dilution : 1:100

3 / 5
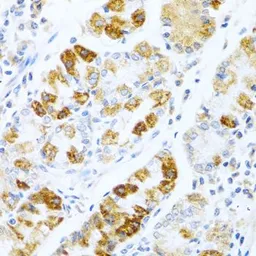
Anti-BMP3 antibody used in IHC (Paraffin sections) (IHC-P). GTX65951
GTX65951 IHC-P Image

IHC-P analysis of rat kidney tissue using GTX65951 BMP3 antibody.
Dilution : 1:100

4 / 5
Anti-BMP3 antibody used in IHC (Paraffin sections) (IHC-P). GTX65951
GTX65951 IHC-P Image

IHC-P analysis of mouse heart tissue using GTX65951 BMP3 antibody.
Dilution : 1:100

5 / 5
Anti-BMP3 antibody used in Western Blot (WB). GTX65951
Anti-BMP3 antibody used in IHC (Paraffin sections) (IHC-P). GTX65951
Anti-BMP3 antibody used in IHC (Paraffin sections) (IHC-P). GTX65951
Anti-BMP3 antibody used in IHC (Paraffin sections) (IHC-P). GTX65951
Anti-BMP3 antibody used in IHC (Paraffin sections) (IHC-P). GTX65951
  • Host
    Rabbit
  • Clonality
    Polyclonal
  • Isotype
    IgG
  • Applications
    WB IHC-P
  • Reactivity
    Human, Mouse, Rat
See all BMP3 products