BMPER antibody, C-term

Cat. No. GTX45752
Cat. No.  GTX45752
Anti-BMPER antibody, C-term used in Western Blot (WB). GTX45752
GTX45752 WB Image

WB analysis of human fetal heart tissue using GTX45752 BMPER antibody at 1μg/ml.

1 / 2
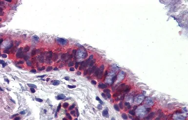
Anti-BMPER antibody, C-term used in IHC (Paraffin sections) (IHC-P). GTX45752
GTX45752 IHC-P Image

IHC-P analysis of human lung tissue using GTX45752 BMPER antibody at 5μg/ml.

2 / 2
Anti-BMPER antibody, C-term used in Western Blot (WB). GTX45752
Anti-BMPER antibody, C-term used in IHC (Paraffin sections) (IHC-P). GTX45752
  • Host
    Rabbit
  • Clonality
    Polyclonal
  • Isotype
    IgG
  • Applications
    WB IHC-P
  • Reactivity
    Human
See all BMPER products