BNIP3L antibody

Cat. No. GTX28399
Cat. No.  GTX28399
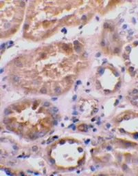
Anti-BNIP3L antibody used in IHC (Paraffin sections) (IHC-P). GTX28399
GTX28399 IHC-P Image

Immunohistochemical staining of human kidney tissue using Bnip3L antibody (GTX28399) at 2μg/ml.

1 / 2
Anti-BNIP3L antibody used in Western Blot (WB). GTX28399
GTX28399 WB Image

Western blot analysis of Bnip3L in K562 whole cell lysate in the absence (A), or presence (B) of immunogenic peptide with Bnip3L antibody (GTX28399) at 1μg/ml.

2 / 2
Anti-BNIP3L antibody used in IHC (Paraffin sections) (IHC-P). GTX28399
Anti-BNIP3L antibody used in Western Blot (WB). GTX28399
  • Host
    Rabbit
  • Clonality
    Polyclonal
  • Isotype
    IgG
  • Applications
    WB IHC-P ELISA
  • Reactivity
    Human
See all BNIP3L products