BRMS1 antibody

Cat. No. GTX55940
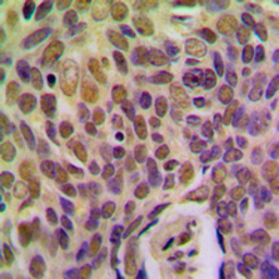
Cat. No.  GTX55940
Anti-BRMS1 antibody used in IHC (Paraffin sections) (IHC-P). GTX55940
GTX55940 IHC-P Image

IHC-P analysis of formalin fixed human breast cancer tissue section using GTX55940 BRMS1 antibody.
Antigen retrieval : Heat mediated antigen retrieval with sodium citrate buffer (pH 6.0)

1 / 2
Anti-BRMS1 antibody used in Western Blot (WB). GTX55940
GTX55940 WB Image

WB analysis of HT29 (A), HeLa (B), MCF7 (C) whole cell lysates using GTX55940 BRMS1 antibody.

2 / 2
Anti-BRMS1 antibody used in IHC (Paraffin sections) (IHC-P). GTX55940
Anti-BRMS1 antibody used in Western Blot (WB). GTX55940
  • Host
    Rabbit
  • Clonality
    Polyclonal
  • Isotype
    IgG
  • Applications
    WB IHC-P
  • Reactivity
    Human
See all BRMS1 products