BRSK2 antibody

Cat. No. GTX85053
Cat. No.  GTX85053
Anti-BRSK2 antibody used in IHC (Paraffin sections) (IHC-P). GTX85053
GTX85053 IHC-P Image

IHC-P analysis of human brain tissue using GTX85053 BRSK2 antibody.
Working concentration : 5 μg/ml

1 / 3
Anti-BRSK2 antibody used in IHC (Paraffin sections) (IHC-P). GTX85053
GTX85053 IHC-P Image

IHC-P analysis of human brain tissue using GTX85053 BRSK2 antibody.
Working concentration : 20 μg/ml

2 / 3
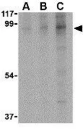
Anti-BRSK2 antibody used in Western Blot (WB). GTX85053
GTX85053 WB Image

WB analysis of human brain tissue lysate using GTX85053 BRSK2 antibody.
Working concentration : (A) 0.5, (B) 1, and (C) 2 μg/ml

3 / 3
Anti-BRSK2 antibody used in IHC (Paraffin sections) (IHC-P). GTX85053
Anti-BRSK2 antibody used in IHC (Paraffin sections) (IHC-P). GTX85053
Anti-BRSK2 antibody used in Western Blot (WB). GTX85053
  • Host
    Rabbit
  • Clonality
    Polyclonal
  • Isotype
    IgG
  • Applications
    WB IHC-P ELISA
  • Reactivity
    Human, Mouse
See all BRSK2 products