BRWD3 antibody

Cat. No. GTX87222
Cat. No.  GTX87222
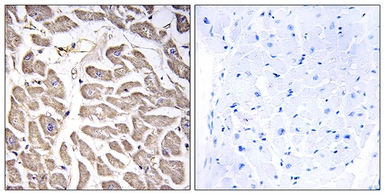
Anti-BRWD3 antibody used in IHC (Paraffin sections) (IHC-P). GTX87222
GTX87222 IHC-P Image

IHC-P analysis of human heart tissue using GTX87222 BRWD3 antibody. The picture on the right is blocked with the synthesized peptide.

1 / 2
Anti-BRWD3 antibody used in Western Blot (WB). GTX87222
GTX87222 WB Image

WB analysis of COLO cell lysates using GTX87222 BRWD3 antibody. The lane on the right is blocked with the synthesized peptide.

2 / 2
Anti-BRWD3 antibody used in IHC (Paraffin sections) (IHC-P). GTX87222
Anti-BRWD3 antibody used in Western Blot (WB). GTX87222
  • Host
    Rabbit
  • Clonality
    Polyclonal
  • Isotype
    IgG
  • Applications
    WB IHC-P
  • Reactivity
    Human
See all BRWD3 products