BTK antibody [10E10]

Cat. No. GTX84785
Cat. No.  GTX84785
Anti-BTK antibody [10E10] used in Immunocytochemistry/ Immunofluorescence (ICC/IF). GTX84785
GTX84785 ICC/IF Image

ICC/IF analysis of COS7 cells transiently transfected with BTK plasmid using GTX84785 BTK antibody [10E10].

1 / 7
Anti-BTK antibody [10E10] used in Western Blot (WB). GTX84785
GTX84785 WB Image

WB analysis of various cell lines using GTX84785 BTK antibody [10E10].
Loading : 10 ug per lane
Dilution : 1:200

2 / 7
Anti-BTK antibody [10E10] used in Immunocytochemistry/ Immunofluorescence (ICC/IF). GTX84785
GTX84785 ICC/IF Image

ICC/IF analysis of HT29 cells using GTX84785 BTK antibody [10E10].

3 / 7
Anti-BTK antibody [10E10] used in Flow cytometry (FCM). GTX84785
GTX84785 FCM Image

FACS analysis of monocytes from non-XLA or XLA patients using GTX84785 BTK antibody [10E10].

4 / 7
Anti-BTK antibody [10E10] used in Western Blot (WB). GTX84785
GTX84785 WB Image

WB analysis of HEK293T cells transfected with BTK plasmid (Right) or empty vector (Left) for 48 hrs using GTX84785 BTK antibody [10E10].
Loading : 5 ug per lane

5 / 7
Anti-BTK antibody [10E10] used in Western Blot (WB). GTX84785
GTX84785 WB Image

WB analysis of various samples using GTX84785 BTK antibody [10E10].
Loading : 10 ug per lane
Dilution : 1:200

6 / 7
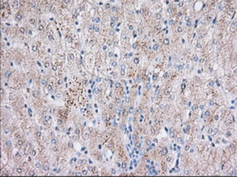
Anti-BTK antibody [10E10] used in IHC (Paraffin sections) (IHC-P). GTX84785
GTX84785 IHC-P Image

IHC-P analysis of human liver tissue using GTX84785 BTK antibody [10E10].
Antigen retrieval : Heat-induced epitope retrieval by 10mM citrate buffer, pH6.0, 100ºC for 10min.
Dilution : 1:50

7 / 7
Anti-BTK antibody [10E10] used in Immunocytochemistry/ Immunofluorescence (ICC/IF). GTX84785
Anti-BTK antibody [10E10] used in Western Blot (WB). GTX84785
Anti-BTK antibody [10E10] used in Immunocytochemistry/ Immunofluorescence (ICC/IF). GTX84785
Anti-BTK antibody [10E10] used in Flow cytometry (FCM). GTX84785
Anti-BTK antibody [10E10] used in Western Blot (WB). GTX84785
Anti-BTK antibody [10E10] used in Western Blot (WB). GTX84785
Anti-BTK antibody [10E10] used in IHC (Paraffin sections) (IHC-P). GTX84785
  • Host
    Mouse
  • Clonality
    Monoclonal
  • Clone Name
    10E10
  • Isotype
    IgG2a
  • Applications
    WB ICC/IF IHC-P FCM
  • Reactivity
    Human, Mouse
See all BTK products