BTN1A1 antibody [5E6]

Cat. No. GTX84775
Cat. No.  GTX84775
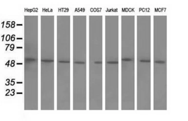
Anti-BTN1A1 antibody [5E6] used in Western Blot (WB). GTX84775
GTX84775 WB Image

WB analysis of various cell lines using GTX84775 BTN1A1 antibody [5E6].
Loading : 35 ug per lane

1 / 4
Anti-BTN1A1 antibody [5E6] used in Western Blot (WB). GTX84775
GTX84775 WB Image

WB analysis of HEK293T cells transfected with BTN1A1 plasmid (Right) or empty vector (Left) for 48 hrs using GTX84775 BTN1A1 antibody [5E6].
Loading : 5 ug per lane

2 / 4
Anti-BTN1A1 antibody [5E6] used in Immunocytochemistry/ Immunofluorescence (ICC/IF). GTX84775
GTX84775 ICC/IF Image

ICC/IF analysis of COS7 cells transiently transfected with BTN1A1 plasmid using GTX84775 BTN1A1 antibody [5E6].

3 / 4
Anti-BTN1A1 antibody [5E6] used in Flow cytometry (FCM). GTX84775
GTX84775 FCM Image

FACS analysis of HEK293T cells transfected with either BTN1A1 plasmid(Red) or empty vector control plasmid(Blue) using GTX84775 BTN1A1 antibody [5E6].

4 / 4
Anti-BTN1A1 antibody [5E6] used in Western Blot (WB). GTX84775
Anti-BTN1A1 antibody [5E6] used in Western Blot (WB). GTX84775
Anti-BTN1A1 antibody [5E6] used in Immunocytochemistry/ Immunofluorescence (ICC/IF). GTX84775
Anti-BTN1A1 antibody [5E6] used in Flow cytometry (FCM). GTX84775
  • Host
    Mouse
  • Clonality
    Monoclonal
  • Clone Name
    5E6
  • Isotype
    IgG1
  • Applications
    WB ICC/IF FCM
  • Reactivity
    Human, Rat, Dog, Monkey
See all BTN1A1 products