Bcr antibody [C2C3-2], C-term

Cat. No. GTX111591
Cat. No.  GTX111591
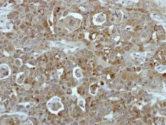
Anti-Bcr antibody [C2C3-2], C-term used in IHC (Paraffin sections) (IHC-P). GTX111591
GTX111591 IHC-P Image

Immunohistochemical analysis of paraffin-embedded H441 xenograft, using Bcr(GTX111591) antibody at 1:500 dilution.
Antigen Retrieval: Trilogy™ (EDTA based, pH 8.0) buffer, 15min

1 / 2
Anti-Bcr antibody [C2C3-2], C-term used in Western Blot (WB). GTX111591
GTX111591 WB Image

Sample (30 ug of whole cell lysate)
A: Molt-4 (GTX27912)
5% SDS PAGE
GTX111591 diluted at 1:1000

2 / 2
Anti-Bcr antibody [C2C3-2], C-term used in IHC (Paraffin sections) (IHC-P). GTX111591
Anti-Bcr antibody [C2C3-2], C-term used in Western Blot (WB). GTX111591
  • Host
    Rabbit
  • Clonality
    Polyclonal
  • Isotype
    IgG
  • Applications
    WB IHC-P
  • Reactivity
    Human
See all Bcr products