Biglycan antibody

Cat. No. GTX57229
Cat. No.  GTX57229
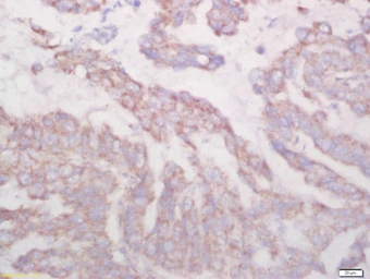
Anti-Biglycan antibody used in IHC (Paraffin sections) (IHC-P). GTX57229
GTX57229 IHC-P Image

IHC-P analysis of human lung carcinoma tissue using GTX57229 Uteroglobin antibody.
Dilution : 1:200

1 / 4
Anti-Biglycan antibody used in Immunocytochemistry/ Immunofluorescence (ICC/IF). GTX57229
GTX57229 ICC/IF Image

ICC/IF analysis of human endothelial cells using GTX57229 Uteroglobin antibody.
Dilution : 1:50
Fixation: 4% PFA

2 / 4
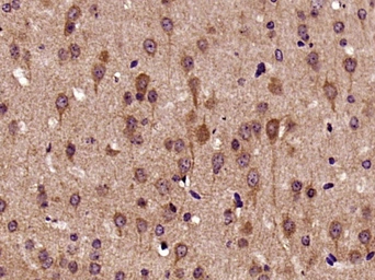
Anti-Biglycan antibody used in IHC (Paraffin sections) (IHC-P). GTX57229
GTX57229 IHC-P Image

IHC-P analysis of mouse brain tissue using GTX57229 Uteroglobin antibody.
Antigen retrieval : boiling in sodium citrate buffer (pH6) for 15min.
Dilution : 1:400

3 / 4
Anti-Biglycan antibody used in Western Blot (WB). GTX57229
GTX57229 WB Image

WB analysis of mouse bone tissue lysate using GTX57229 Uteroglobin antibody.
Dilution : 1:300

4 / 4
Anti-Biglycan antibody used in IHC (Paraffin sections) (IHC-P). GTX57229
Anti-Biglycan antibody used in Immunocytochemistry/ Immunofluorescence (ICC/IF). GTX57229
Anti-Biglycan antibody used in IHC (Paraffin sections) (IHC-P). GTX57229
Anti-Biglycan antibody used in Western Blot (WB). GTX57229
  • Host
    Rabbit
  • Clonality
    Polyclonal
  • Isotype
    IgG
  • Applications
    WB ICC/IF IHC-P
  • Reactivity
    Human, Mouse, Rabbit
See all Biglycan products