C1qA antibody

Cat. No. GTX112883
Cat. No.  GTX112883
Anti-C1qA antibody used in Western Blot (WB). GTX112883
GTX112883 WB Image

Human plasma (30 μg) was separated by 12% SDS-PAGE, and the membrane was blotted with C1qA antibody (GTX112883) diluted at 1:10000. The HRP-conjugated anti-rabbit IgG antibody (GTX213110-01) was used to detect the primary antibody.

1 / 5
Anti-C1qA antibody used in Immunocytochemistry/ Immunofluorescence (ICC/IF). GTX112883
GTX112883 ICC/IF Image

C1qA antibody detects C1qA protein at cytoplasm by immunofluorescent analysis.
Sample: HeLa cells were fixed in ice-cold MeOH for 5 min.
Green: C1qA protein stained by C1qA antibody (GTX112883) diluted at 1:100.
Blue: Hoechst 33342 staining.
Scale bar = 10 μm.

2 / 5
Anti-C1qA antibody used in IHC (Paraffin sections) (IHC-P). GTX112883
GTX112883 IHC-P Image

C1qA antibody detects secreted C1qA protein by immunohistochemical analysis.
Sample: Paraffin-embedded human lung cancer.
C1qA stained by C1qA antibody (GTX112883) diluted at 1:500.
Antigen Retrieval: Citrate buffer, pH 6.0, 15 min

3 / 5
Anti-C1qA antibody used in IHC (Paraffin sections) (IHC-P). GTX112883
GTX112883 IHC-P Image

C1qA antibody detects secreted C1qA protein by immunohistochemical analysis.
Sample: Paraffin-embedded human lung cancer.
C1qA stained by C1qA antibody (GTX112883) diluted at 1:500.
Antigen Retrieval: Citrate buffer, pH 6.0, 15 min

4 / 5
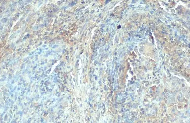
Anti-C1qA antibody used in IHC (Paraffin sections) (IHC-P). GTX112883
GTX112883 IHC-P Image

C1qA antibody detects secreted C1qA protein by immunohistochemical analysis.
Sample: Paraffin-embedded human lung cancer.
C1qA stained by C1qA antibody (GTX112883) diluted at 1:500.
Antigen Retrieval: Citrate buffer, pH 6.0, 15 min

5 / 5
Anti-C1qA antibody used in Western Blot (WB). GTX112883
Anti-C1qA antibody used in Immunocytochemistry/ Immunofluorescence (ICC/IF). GTX112883
Anti-C1qA antibody used in IHC (Paraffin sections) (IHC-P). GTX112883
Anti-C1qA antibody used in IHC (Paraffin sections) (IHC-P). GTX112883
Anti-C1qA antibody used in IHC (Paraffin sections) (IHC-P). GTX112883
  • Host
    Rabbit
  • Clonality
    Polyclonal
  • Isotype
    IgG
  • Applications
    WB ICC/IF IHC-P
  • Reactivity
    Human
See all C1qA products