CARD11 antibody, C-term

Cat. No. GTX89813
Cat. No.  GTX89813
Anti-CARD11 antibody, C-term used in Western Blot (WB). GTX89813
GTX89813 WB Image

WB analysis of Jurkat lysate using GTX89813 CARD11 antibody, C-term.
Dilution : 1μg/ml
Loading : 35μg protein in RIPA buffer

1 / 2
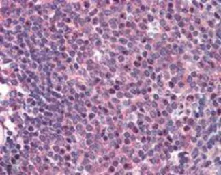
Anti-CARD11 antibody, C-term used in IHC (Paraffin sections) (IHC-P). GTX89813
GTX89813 IHC-P Image

IHC-P analysis of human spleen using GTX89813 CARD11 antibody, C-term.
Antigen retrieval : citrate buffer pH 6
Dilution : 2μg/ml

2 / 2
Anti-CARD11 antibody, C-term used in Western Blot (WB). GTX89813
Anti-CARD11 antibody, C-term used in IHC (Paraffin sections) (IHC-P). GTX89813
  • Host
    Goat
  • Clonality
    Polyclonal
  • Isotype
    IgG
  • Applications
    WB IHC-P
  • Reactivity
    Human
See all CARD11 products