CARD11 antibody

Cat. No. GTX55548
Cat. No.  GTX55548
Anti-CARD11 antibody used in Immunocytochemistry/ Immunofluorescence (ICC/IF). GTX55548
GTX55548 ICC/IF Image

ICC/IF analysis of A549 cells using GTX55548 CARD11 antibody.
Blue : DAPI

1 / 3
Anti-CARD11 antibody used in Western Blot (WB). GTX55548
GTX55548 WB Image

WB analysis of various sample lysates using GTX55548 CARD11 antibody.
Dilution : 1:1000
Loading : 25μg per lane

2 / 3
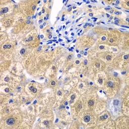
Anti-CARD11 antibody used in IHC (Paraffin sections) (IHC-P). GTX55548
GTX55548 IHC-P Image

IHC-P analysis of human liver damage tissue using GTX55548 CARD11 antibody.
Dilution : 1:100

3 / 3
Anti-CARD11 antibody used in Immunocytochemistry/ Immunofluorescence (ICC/IF). GTX55548
Anti-CARD11 antibody used in Western Blot (WB). GTX55548
Anti-CARD11 antibody used in IHC (Paraffin sections) (IHC-P). GTX55548
  • Host
    Rabbit
  • Clonality
    Polyclonal
  • Isotype
    IgG
  • Applications
    WB ICC/IF IHC-P
  • Reactivity
    Human, Mouse
See all CARD11 products