CBP80 antibody [N2], N-term

Cat. No. GTX106328
Cat. No.  GTX106328
Anti-CBP80 antibody [N2], N-term used in Western Blot (WB). GTX106328
GTX106328 WB Image

Sample (30 ug of whole cell lysate)
A: A431 (GTX27909)
7.5% SDS PAGE
GTX106328 diluted at 1:2000

1 / 3
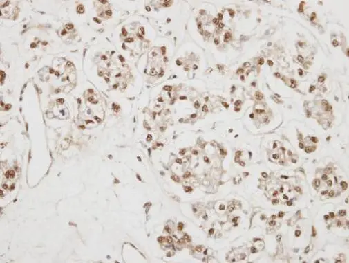
Anti-CBP80 antibody [N2], N-term used in IHC (Paraffin sections) (IHC-P). GTX106328
GTX106328 IHC-P Image

Immunohistochemical analysis of paraffin-embedded OVCA xenograft, using NCBP1(GTX106328) antibody at 1:500 dilution.
Antigen Retrieval: Trilogy™ (EDTA based, pH 8.0) buffer, 15min

2 / 3
Anti-CBP80 antibody [N2], N-term used in Immunocytochemistry/ Immunofluorescence (ICC/IF). GTX106328
GTX106328 ICC/IF Image

Immunofluorescence analysis of paraformaldehyde-fixed HeLa, using CBP80 (GTX106328) antibody at 1:200 dilution.

3 / 3
Anti-CBP80 antibody [N2], N-term used in Western Blot (WB). GTX106328
Anti-CBP80 antibody [N2], N-term used in IHC (Paraffin sections) (IHC-P). GTX106328
Anti-CBP80 antibody [N2], N-term used in Immunocytochemistry/ Immunofluorescence (ICC/IF). GTX106328
  • Host
    Rabbit
  • Clonality
    Polyclonal
  • Isotype
    IgG
  • Applications
    WB ICC/IF IHC-P
  • Reactivity
    Human
See all CBP80 products