CBWD1 antibody [3F9]

Cat. No. GTX84732
Cat. No.  GTX84732
Anti-CBWD1 antibody [3F9] used in IHC (Paraffin sections) (IHC-P). GTX84732
GTX84732 IHC-P Image

IHC-P analysis of human kidney carcinoma tissue using GTX84732 CBWD1 antibody [3F9].
Antigen retrieval : Heat-induced epitope retrieval by 10mM citrate buffer, pH6.0, 100ºC for 10min.

1 / 17
Anti-CBWD1 antibody [3F9] used in IHC (Paraffin sections) (IHC-P). GTX84732
GTX84732 IHC-P Image

IHC-P analysis of human colon adenocarcinoma tissue using GTX84732 CBWD1 antibody [3F9].
Antigen retrieval : Heat-induced epitope retrieval by 10mM citrate buffer, pH6.0, 100ºC for 10min.

2 / 17
Anti-CBWD1 antibody [3F9] used in IHC (Paraffin sections) (IHC-P). GTX84732
GTX84732 IHC-P Image

IHC-P analysis of human prostate carcinoma tissue using GTX84732 CBWD1 antibody [3F9].
Antigen retrieval : Heat-induced epitope retrieval by 10mM citrate buffer, pH6.0, 100ºC for 10min.

3 / 17
Anti-CBWD1 antibody [3F9] used in Flow cytometry (FCM). GTX84732
GTX84732 FCM Image

FACS analysis of Jurkat cells using GTX84732 CBWD1 antibody [3F9].
Red : Primary antibody
Blue : Negative control antibody

4 / 17
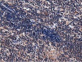
Anti-CBWD1 antibody [3F9] used in IHC (Paraffin sections) (IHC-P). GTX84732
GTX84732 IHC-P Image

IHC-P analysis of human lymphoma tissue using GTX84732 CBWD1 antibody [3F9].
Antigen retrieval : Heat-induced epitope retrieval by 10mM citrate buffer, pH6.0, 100ºC for 10min.

5 / 17
Anti-CBWD1 antibody [3F9] used in Flow cytometry (FCM). GTX84732
GTX84732 FCM Image

FACS analysis of HEK293T cells transfected with either CBWD1 plasmid(Red) or empty vector control plasmid(Blue) using GTX84732 CBWD1 antibody [3F9].

6 / 17
Anti-CBWD1 antibody [3F9] used in IHC (Paraffin sections) (IHC-P). GTX84732
GTX84732 IHC-P Image

IHC-P analysis of human prostate tissue using GTX84732 CBWD1 antibody [3F9].
Antigen retrieval : Heat-induced epitope retrieval by 10mM citrate buffer, pH6.0, 100ºC for 10min.

7 / 17
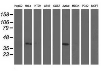
Anti-CBWD1 antibody [3F9] used in Western Blot (WB). GTX84732
GTX84732 WB Image

WB analysis of various cell lines using GTX84732 CBWD1 antibody [3F9].
Loading : 35 ug per lane

8 / 17
Anti-CBWD1 antibody [3F9] used in IHC (Paraffin sections) (IHC-P). GTX84732
GTX84732 IHC-P Image

IHC-P analysis of human bladder carcinoma tissue using GTX84732 CBWD1 antibody [3F9].
Antigen retrieval : Heat-induced epitope retrieval by 10mM citrate buffer, pH6.0, 100ºC for 10min.

9 / 17
Anti-CBWD1 antibody [3F9] used in IHC (Paraffin sections) (IHC-P). GTX84732
GTX84732 IHC-P Image

IHC-P analysis of human lung carcinoma tissue using GTX84732 CBWD1 antibody [3F9].
Antigen retrieval : Heat-induced epitope retrieval by 10mM citrate buffer, pH6.0, 100ºC for 10min.

10 / 17
Anti-CBWD1 antibody [3F9] used in IHC (Paraffin sections) (IHC-P). GTX84732
GTX84732 IHC-P Image

IHC-P analysis of human endometrium adenocarcinoma tissue using GTX84732 CBWD1 antibody [3F9].
Antigen retrieval : Heat-induced epitope retrieval by 10mM citrate buffer, pH6.0, 100ºC for 10min.

11 / 17
Anti-CBWD1 antibody [3F9] used in IHC (Paraffin sections) (IHC-P). GTX84732
GTX84732 IHC-P Image

IHC-P analysis of human ovary adenocarcinoma tissue using GTX84732 CBWD1 antibody [3F9].
Antigen retrieval : Heat-induced epitope retrieval by 10mM citrate buffer, pH6.0, 100ºC for 10min.

12 / 17
Anti-CBWD1 antibody [3F9] used in Immunocytochemistry/ Immunofluorescence (ICC/IF). GTX84732
GTX84732 ICC/IF Image

ICC/IF analysis of COS7 cells transiently transfected with CBWD1 plasmid using GTX84732 CBWD1 antibody [3F9].

13 / 17
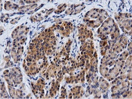
Anti-CBWD1 antibody [3F9] used in IHC (Paraffin sections) (IHC-P). GTX84732
GTX84732 IHC-P Image

IHC-P analysis of human pancreas tissue using GTX84732 CBWD1 antibody [3F9].
Antigen retrieval : Heat-induced epitope retrieval by 10mM citrate buffer, pH6.0, 100ºC for 10min.

14 / 17
Anti-CBWD1 antibody [3F9] used in IHC (Paraffin sections) (IHC-P). GTX84732
GTX84732 IHC-P Image

IHC-P analysis of human lymph node tissue using GTX84732 CBWD1 antibody [3F9].
Antigen retrieval : Heat-induced epitope retrieval by 10mM citrate buffer, pH6.0, 100ºC for 10min.

15 / 17
Anti-CBWD1 antibody [3F9] used in Western Blot (WB). GTX84732
GTX84732 WB Image

WB analysis of HEK293T cells transfected with CBWD1 plasmid (Right) or empty vector (Left) for 48 hrs using GTX84732 CBWD1 antibody [3F9].
Loading : 5 ug per lane

16 / 17
Anti-CBWD1 antibody [3F9] used in IHC (Paraffin sections) (IHC-P). GTX84732
GTX84732 IHC-P Image

IHC-P analysis of human breast adenocarcinoma tissue using GTX84732 CBWD1 antibody [3F9].
Antigen retrieval : Heat-induced epitope retrieval by 10mM citrate buffer, pH6.0, 100ºC for 10min.

17 / 17
Anti-CBWD1 antibody [3F9] used in IHC (Paraffin sections) (IHC-P). GTX84732
Anti-CBWD1 antibody [3F9] used in IHC (Paraffin sections) (IHC-P). GTX84732
Anti-CBWD1 antibody [3F9] used in IHC (Paraffin sections) (IHC-P). GTX84732
Anti-CBWD1 antibody [3F9] used in Flow cytometry (FCM). GTX84732
Anti-CBWD1 antibody [3F9] used in IHC (Paraffin sections) (IHC-P). GTX84732
Anti-CBWD1 antibody [3F9] used in Flow cytometry (FCM). GTX84732
Anti-CBWD1 antibody [3F9] used in IHC (Paraffin sections) (IHC-P). GTX84732
Anti-CBWD1 antibody [3F9] used in Western Blot (WB). GTX84732
Anti-CBWD1 antibody [3F9] used in IHC (Paraffin sections) (IHC-P). GTX84732
Anti-CBWD1 antibody [3F9] used in IHC (Paraffin sections) (IHC-P). GTX84732
Anti-CBWD1 antibody [3F9] used in IHC (Paraffin sections) (IHC-P). GTX84732
Anti-CBWD1 antibody [3F9] used in IHC (Paraffin sections) (IHC-P). GTX84732
Anti-CBWD1 antibody [3F9] used in Immunocytochemistry/ Immunofluorescence (ICC/IF). GTX84732
Anti-CBWD1 antibody [3F9] used in IHC (Paraffin sections) (IHC-P). GTX84732
Anti-CBWD1 antibody [3F9] used in IHC (Paraffin sections) (IHC-P). GTX84732
Anti-CBWD1 antibody [3F9] used in Western Blot (WB). GTX84732
Anti-CBWD1 antibody [3F9] used in IHC (Paraffin sections) (IHC-P). GTX84732
  • Host
    Mouse
  • Clonality
    Monoclonal
  • Clone Name
    3F9
  • Isotype
    IgG2b
  • Applications
    WB ICC/IF IHC-P FCM
  • Reactivity
    Human
See all CBWD1 products