CBWD1 antibody [4E8]

Cat. No. GTX84728
Cat. No.  GTX84728
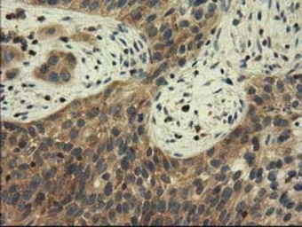
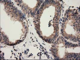
Anti-CBWD1 antibody [4E8] used in IHC (Paraffin sections) (IHC-P). GTX84728
GTX84728 IHC-P Image

IHC-P analysis of human lung carcinoma tissue using GTX84728 CBWD1 antibody [4E8].

1 / 9
Anti-CBWD1 antibody [4E8] used in IHC (Paraffin sections) (IHC-P). GTX84728
GTX84728 IHC-P Image

IHC-P analysis of human bladder carcinoma tissue using GTX84728 CBWD1 antibody [4E8].

2 / 9
Anti-CBWD1 antibody [4E8] used in Flow cytometry (FCM). GTX84728
GTX84728 FCM Image

FACS analysis of HeLa cells using GTX84728 CBWD1 antibody [4E8].
Red : Primary antibody
Blue : Negative control antibody

3 / 9
Anti-CBWD1 antibody [4E8] used in Flow cytometry (FCM). GTX84728
GTX84728 FCM Image

FACS analysis of HEK293T cells transfected with either CBWD1 plasmid(Red) or empty vector control plasmid(Blue) using GTX84728 CBWD1 antibody [4E8].

4 / 9
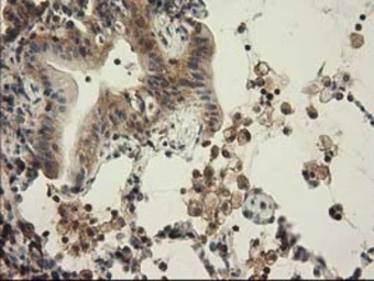
Anti-CBWD1 antibody [4E8] used in IHC (Paraffin sections) (IHC-P). GTX84728
GTX84728 IHC-P Image

IHC-P analysis of human endometrium adenocarcinoma tissue using GTX84728 CBWD1 antibody [4E8].

5 / 9
Anti-CBWD1 antibody [4E8] used in Western Blot (WB). GTX84728
GTX84728 WB Image

WB analysis of HEK293T cells transfected with CBWD1 plasmid (Right) or empty vector (Left) for 48 hrs using GTX84728 CBWD1 antibody [4E8].
Loading : 5 ug per lane

6 / 9
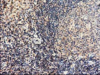
Anti-CBWD1 antibody [4E8] used in IHC (Paraffin sections) (IHC-P). GTX84728
GTX84728 IHC-P Image

IHC-P analysis of human lymph node tissue using GTX84728 CBWD1 antibody [4E8].

7 / 9
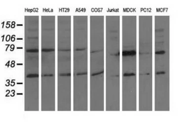
Anti-CBWD1 antibody [4E8] used in Western Blot (WB). GTX84728
GTX84728 WB Image

WB analysis of various cell lines using GTX84728 CBWD1 antibody [4E8].
Loading : 35 ug per lane

8 / 9
Anti-CBWD1 antibody [4E8] used in Flow cytometry (FCM). GTX84728
GTX84728 FCM Image

FACS analysis of Jurkat cells using GTX84728 CBWD1 antibody [4E8].
Red : Primary antibody
Blue : Negative control antibody

9 / 9
Anti-CBWD1 antibody [4E8] used in IHC (Paraffin sections) (IHC-P). GTX84728
Anti-CBWD1 antibody [4E8] used in IHC (Paraffin sections) (IHC-P). GTX84728
Anti-CBWD1 antibody [4E8] used in Flow cytometry (FCM). GTX84728
Anti-CBWD1 antibody [4E8] used in Flow cytometry (FCM). GTX84728
Anti-CBWD1 antibody [4E8] used in IHC (Paraffin sections) (IHC-P). GTX84728
Anti-CBWD1 antibody [4E8] used in Western Blot (WB). GTX84728
Anti-CBWD1 antibody [4E8] used in IHC (Paraffin sections) (IHC-P). GTX84728
Anti-CBWD1 antibody [4E8] used in Western Blot (WB). GTX84728
Anti-CBWD1 antibody [4E8] used in Flow cytometry (FCM). GTX84728
  • Host
    Mouse
  • Clonality
    Monoclonal
  • Clone Name
    4E8
  • Isotype
    IgG2b
  • Applications
    WB IHC-P FCM
  • Reactivity
    Human, Rat, Dog, Monkey
See all CBWD1 products