CBX4 antibody [C3], C-term

Cat. No. GTX109662
Cat. No.  GTX109662
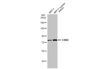
Anti-CBX4 antibody [C3], C-term used in Western Blot (WB). GTX109662
GTX109662 WB Image

MCF-7 whole cell and nuclear extracts (30 μg) were separated by 7.5% SDS-PAGE, and the membrane was blotted with CBX4 antibody [C3], C-term (GTX109662) diluted at 1:1000. The HRP-conjugated anti-rabbit IgG antibody (GTX213110-01) was used to detect the primary antibody.

1 / 5
Anti-CBX4 antibody [C3], C-term used in Western Blot (WB). GTX109662
GTX109662 WB Image

The data was published in the journal Sci Rep in 2016. PMID: 27181215

2 / 5
Anti-CBX4 antibody [C3], C-term used in IHC (Paraffin sections) (IHC-P). GTX109662
GTX109662 IHC-P Image

The data was published in the journal Sci Rep in 2016. PMID: 27181215

3 / 5
Anti-CBX4 antibody [C3], C-term used in Western Blot (WB). GTX109662
GTX109662 WB Image

The data was published in the journal Sci Rep in 2016. PMID: 27181215

4 / 5
Anti-CBX4 antibody [C3], C-term used in Western Blot (WB). GTX109662
GTX109662 WB Image

The data was published in the journal Sci Rep in 2016. PMID: 27181215

5 / 5
Anti-CBX4 antibody [C3], C-term used in Western Blot (WB). GTX109662
Anti-CBX4 antibody [C3], C-term used in Western Blot (WB). GTX109662
Anti-CBX4 antibody [C3], C-term used in IHC (Paraffin sections) (IHC-P). GTX109662
Anti-CBX4 antibody [C3], C-term used in Western Blot (WB). GTX109662
Anti-CBX4 antibody [C3], C-term used in Western Blot (WB). GTX109662
  • Host
    Rabbit
  • Clonality
    Polyclonal
  • Isotype
    IgG
  • Applications
    WB IHC-P
  • Reactivity
    Human, Mouse
See all CBX4 products